Promotional price valid on web orders only. Your contract pricing may differ. Interested in signing up for a dedicated account number?
Learn More
Learn More
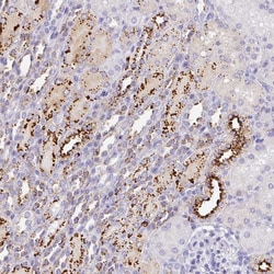
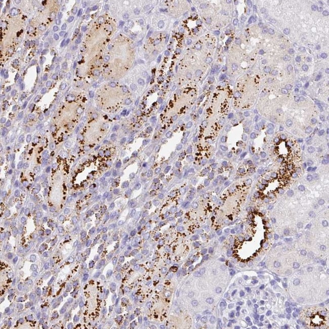
Invitrogen™ MMACHC Polyclonal Antibody

Rabbit Polyclonal Antibody
Supplier: Invitrogen™ PA555599
Description
Immunogen sequence: EIIADYEVHP NRRPKILAQT AAHVAGAAYY YQRQDVEADP WGNQRISGVC IHPRFGGWFA IRGVVLLPGI EVPDLPPRKP HDCVPT Highest antigen sequence identity to the following orthologs: Mouse - 91%, Rat - 90%.
The exact function of the MMACHC protein is not known, however, its C-terminal region shows similarity to TonB, a bacterial protein involved in energy transduction for cobalamin (vitamin B12) uptake. Hence, it is postulated that this protein may have a role in the binding and intracellular trafficking of cobalamin. Mutations in this gene are associated with methylmalonic aciduria and homocystinuria type cblC.
Specifications
MMACHC | |
Polyclonal | |
Unconjugated | |
MMACHC | |
1810037K07Rik; cblC; Cyanocobalamin reductase (cyanide-eliminating); methylmalonic aciduria (cobalamin deficiency) cblC type, with homocystinuria; methylmalonic aciduria and homocystinuria type C protein; Methylmalonic aciduria and homocystinuria type C protein homolog; methylmalonic aciduria cblC type, with homocystinuria; Mmachc; RGD1310806; RP11-291L19.3 | |
Rabbit | |
Antigen affinity chromatography | |
RUO | |
25974 | |
Store at 4°C short term. For long term storage, store at -20°C, avoiding freeze/thaw cycles. | |
Liquid |
Immunohistochemistry (Paraffin), Western Blot | |
0.05 mg/mL | |
PBS with 40% glycerol and 0.02% sodium azide; pH 7.2 | |
Q9Y4U1 | |
MMACHC | |
Recombinant protein corresponding to Human MMACHC. Recombinant protein control fragment (Product #RP-94200). | |
100 μL | |
Primary | |
Human | |
Antibody | |
IgG |
Product Content Correction
Your input is important to us. Please complete this form to provide feedback related to the content on this product.
Product Title
Spot an opportunity for improvement?Share a Content Correction