Promotional price valid on web orders only. Your contract pricing may differ. Interested in signing up for a dedicated account number?
Learn More
Learn More
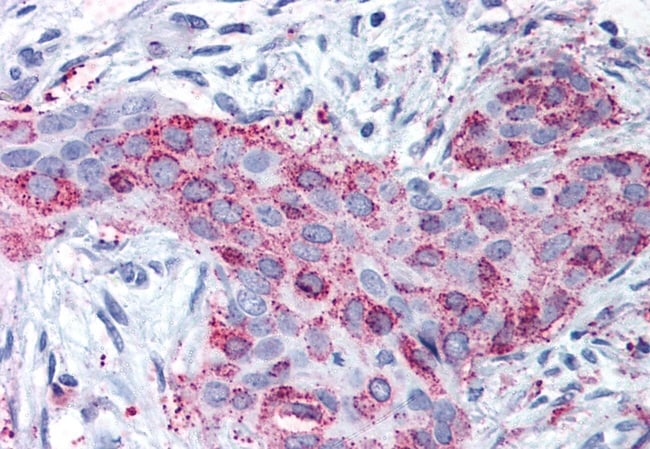
Invitrogen™ MMP13 Polyclonal Antibody

Rabbit Polyclonal Antibody
Supplier: Invitrogen™ PA533940
Description
Percent identity with other species by BLAST analysis: Human, Gorilla, Gibbon, Monkey, Marmoset, Elephant, Panda, Horse, Rabbit, Pig (100%) Mouse, Rat, Sheep, Dog, Hamster (94%).
MMP13 (collagense 3) plays a role in the degradation of extracellular matrix proteins including fibrillar collagen, fibronectin, TNC, and ACAN. MMP13 cleaves tripal helical collagens, including type I, II, and III collagen - but has the highest activity with soluble type II collagen. It can degrade collagen type IV, XIV, and X. MMP13 plays a role in wound healing, tissue remodeling, cartilage degradation, bone development, bone mineralization, and ossification. It is required for normal embryonic bone development and ossificaiton. Mutations affecting the gene can lead to spondyloepimetaphyseal dysplasia Missouri type, metaphyseal anadysplasia 1, and metaphyseal dysplasia Sphar type.
Specifications
| MMP13 | |
| Polyclonal | |
| Unconjugated | |
| MMP13 | |
| cb1034; Clg; CLG3; Collagenase; collagenase 3; collagenase 3a; matrix metalloproteinase 13a; collagenase-1; Collagenase3; Collagenase-3; collagenase-3 precursor; interstitial collagenase; MANDP1; matrix metallo protease; matrix metallopeptidase 13; matrix metallopeptidase 13 (collagenase 3); matrix metallopeptidase 13a; matrix metallopeptidase 13a (collagenase 3); matrix metalloproteinase 13; matrix metalloproteinase 13 (collagenase 3); matrix metalloproteinase-13; matrix metalloproteinase-13; MMP-13; interstitial protein; MMP; Mmp1; MMP13; MMP-13; mmp13 protein; mmp13a; MMPLg; MMPLh; MMPs; Procollagenase 3; UMRCASE; ZFMMP13 | |
| Rabbit | |
| Antigen affinity chromatography | |
| RUO | |
| 100008685, 100009711, 397346, 4322 | |
| Store at 4°C short term. For long term storage, store at -20°C, avoiding freeze/thaw cycles. | |
| Liquid |
| Immunohistochemistry (Paraffin) | |
| 1 mg/mL | |
| PBS with 0.1% sodium azide | |
| O18927, O62806, P45452 | |
| MMP13 | |
| Synthetic 18 amino acid peptide from internal region of human MMP13. | |
| 50 μg | |
| Primary | |
| Human, Rabbit, Monkey, Pig, Horse | |
| Antibody | |
| IgG |
Product Content Correction
Your input is important to us. Please complete this form to provide feedback related to the content on this product.
Product Title
Spot an opportunity for improvement?Share a Content Correction