Learn More
Invitrogen™ MMP16 Polyclonal Antibody

Description
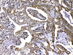
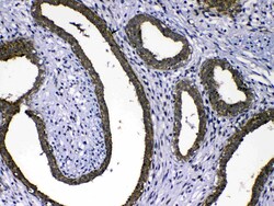
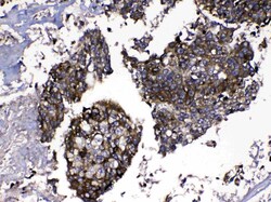
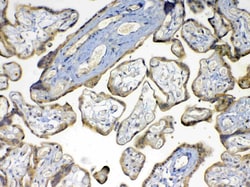
Reconstitute with 0.2 mL of distilled water to yield a concentration of 500 μg/mL. Positive Control - WB: mouse intestine tissue, human SMMC-7721 whole cell. IHC: human colon cancer tissue, human lung cancer tissue, human placenta tissue, human mammary cancer tissue. ICC/IF: A431 cell. Flow: CACO-2 cell.
Specifications
Specifications
| Antigen | MMP16 |
| Applications | ELISA, Flow Cytometry, Immunohistochemistry (Paraffin), Western Blot, Immunocytochemistry |
| Classification | Polyclonal |
| Concentration | 500 μg/mL |
| Conjugate | Unconjugated |
| Formulation | PBS with 5mg BSA and 0.05mg sodium azide |
| Gene | Mmp16 |
| Gene Accession No. | O35548, P51512, Q9WTR0 |
| Gene Alias | C8orf57; DKFZp761D112; matrix metallo protease; matrix metallopeptidase 16; matrix metallopeptidase 16 (membrane-inserted); matrix metalloproteinase 16; matrix metalloproteinase-16; Membrane type 3-MMP; membrane-type matrix metalloproteinase 3; Membrane-type-3 matrix metalloproteinase; MMP; MMP-1; Mmp16; MMP-16; MMPs; MMPX2; MMP-X2; Mt3mmp; MT3-MMP; MT-MMP 3; MT-MMP2; MTMMP3; MT-MMP3; Putative transmembrane protein C8orf57 |
| Gene Symbols | Mmp16 |
| Show More |
By clicking Submit, you acknowledge that you may be contacted by Fisher Scientific in regards to the feedback you have provided in this form. We will not share your information for any other purposes. All contact information provided shall also be maintained in accordance with our Privacy Policy.