Promotional price valid on web orders only. Your contract pricing may differ. Interested in signing up for a dedicated account number?
Learn More
Learn More
Invitrogen™ MMP9 Polyclonal Antibody

Rabbit Polyclonal Antibody
Supplier: Invitrogen™ PA5110626
Description
Immunogen sequence: PRQRQSTLVL FPGDLRTNLT DRQLAEEYLY RYGYTRVAEM RGESKSLGPA LLLLQKQLSL PETGELDSAT LKAMRTPRCG VPDLGRFQTF EGDLKWHHHN ITYWIQNYSE DLPRAVIDDA FARAFALWSA VTPLTFTRVY SRDADI.
MMP9 (matrix metallopeptidase 9, GELB, CLG4B) is a matrix metalloproteinase, a family of zinc and calcium-dependent endopeptidases that degrade extracellular matrix proteins. MMP9 is secreted as a 92kDa zymogen and cleavage of pro-MMP9 results in the active enzyme with a molecular weight of 82kDa. MMP9 has a gelatin-binding domain consisting of three fibronectin type II units, a catalytic domain containing the zinc-binding site, a proline-rich type V collagen-homologous domain and a hemopexin-like domain. MMP9 is produced by monocytes, macrophages, neutrophils, keratinocytes, fibroblasts, osteoclasts and endothelial cells, and is involved in inflammatory responses, tissue remodeling, wound healing, tumor growth and metastasis. MMP9 is supplied by bone marrow-derived cells and contributes to skin carcinogenesis. Further, MMP9 degrades type IV and V collagens. Studies in rhesus monkeys suggest that the enzyme is involved in IL-8-induced mobilization of hematopoietic progenitor cells from bone marrow, and murine studies suggest a role in tumor-associated tissue remodeling. Studies have shown that elevated MMP9 is associated with progression of idiopathic atrial fibrillation and aortic aneurysm.
Specifications
| MMP9 | |
| Polyclonal | |
| Unconjugated | |
| MMP9 | |
| 67 kDa matrix metalloproteinase-9; 82 kDa matrix metalloproteinase-9; 92 kDa gelatinase; 92 kDa type IV collagenase; 92kD gelatinase; 92kD type IV collagenase; 92kDa gelatinase; 92kDa type IV collagenase; 92-kDa type IV collagenase; AW743869; B/MMP9; Clg4b; collagenase type IVB; fj05a08; Gel B; gelatinase B; Gelatinase-B; GELB; macrophage gelatinase; MANDP2; matrix metallo protease; matrix metallopeptidase 9; matrix metallopeptidase 9 (gelatinase B, 92kDa gelatinase, 92kDa type IV collagenase); matrix metalloproteinase 9; matrix metalloproteinase 9 (gelatinase B 92-kDa type IV collagenase); matrix metalloproteinase 9 (gelatinase B, 92kDa gelatinase, 92kDa type IV collagenase); matrix metalloproteinase 9 (gelatinase B, 92kDa matrix metalloproteinase 9 (gelatinase B, 92kDa gelatinase, 92kDa type IV collagenase); matrix metalloproteinase 9 (gelatinase B, 92-kDa type IV collagenase); Matrix metalloproteinase9; matrix metalloproteinase-9; MMP; Mmp9; MMP-9; mmp9 protein; MMP-9 protein; MMPs; Preproform of 92-kDa type IV collagenase (MMP-9): N-terminal; pro-MMP-9; type IV collagenase; type V collagenase; wu:fb02g06; wu:fb07b05; wu:fi98c09; wu:fj05a08; ZFMMP-9; zgc:64165 | |
| Rabbit | |
| Antigen affinity chromatography | |
| RUO | |
| 4318 | |
| Store at 4°C short term. For long term storage, store at -20°C, avoiding freeze/thaw cycles. | |
| Liquid |
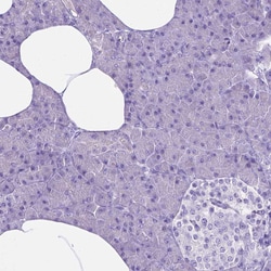
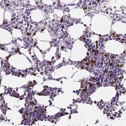
| Immunohistochemistry (Paraffin), Immunocytochemistry | |
| 0.1 mg/mL | |
| PBS with 40% glycerol and 0.02% sodium azide; pH 7.2 | |
| P14780 | |
| MMP9 | |
| Recombinant Protein corresonding to Human MMP9. Recombinant protein control fragment (Product #RP-99359). | |
| 100 μL | |
| Primary | |
| Human | |
| Antibody | |
| IgG |
Product Content Correction
Your input is important to us. Please complete this form to provide feedback related to the content on this product.
Product Title
Spot an opportunity for improvement?Share a Content Correction