Learn More
Invitrogen™ MNAR Polyclonal Antibody

Rabbit Polyclonal Antibody
Supplier: Invitrogen™ PA5120860
Description
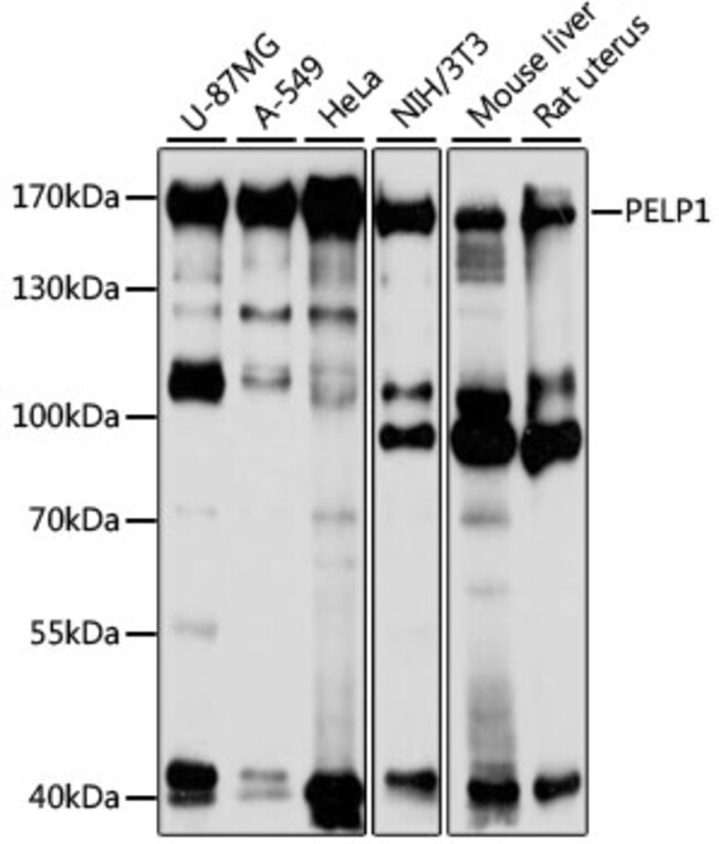
Positive test controls include: U-87MG, A-549, HeLa, NIH/3T3, Mouse liver, Rat uterus. The target is usually found in the following locations: Cytoplasm, Nucleus, nucleoplasm. Immunogen sequence: EVEEGAPPPP TLPPALPPPE SPPKVQPEPE PEPGLLLEVE EPGTEEERGA DTAPTLAPEA LPSQGEVERE GESPAAGPPP QELVEEEPSA PPTLLEEETE DGSDKVQPPP ETPAEEEMET ETEAEALQEK EQDDTAAMLA DFIDCPPDDE KPPPPTEPDS.
This gene encodes a transcription factor which coactivates transcription of estrogen receptor responsive genes and corepresses genes activated by other hormone receptors or sequence-specific transcription factors. Expression of this gene is regulated by both members of the estrogen receptor family. This gene may be involved in the progression of several types of cancer. Alternative splicing results in multiple transcript variants.
Specifications
MNAR | |
Polyclonal | |
Unconjugated | |
PELP1 | |
4930563C04Rik; HMX3; Mnar; modulator of nongenomic activity of estrogen receptor; Modulator of non-genomic activity of estrogen receptor; P160; PELP1; proline and glutamic acid rich nuclear protein; proline, glutamate and leucine rich protein 1; proline, glutamic acid and leucine rich protein 1; proline-, glutamic acid- and leucine-rich protein 1; proline-, glutamic acid-, leucine-rich protein 1; RGD1306320; transcription factor HMX3 | |
Rabbit | |
Affinity Chromatography | |
RUO | |
27043, 360552, 75273 | |
-20°C, Avoid Freeze/Thaw Cycles | |
Liquid |
ELISA, Immunohistochemistry (Paraffin), Western Blot, Immunocytochemistry | |
0.75 mg/mL | |
PBS with 50% glycerol and 0.01% thimerosal; pH 7.3 | |
Q56B11, Q8IZL8, Q9DBD5 | |
PELP1 | |
Recombinant fusion protein containing a sequence corresponding to amino acids 1021-1180 of human PELP1 (NP_055204.3). | |
100 μL | |
Primary | |
Human, Mouse, Rat | |
Antibody | |
IgG |
Your input is important to us. Please complete this form to provide feedback related to the content on this product.