Promotional price valid on web orders only. Your contract pricing may differ. Interested in signing up for a dedicated account number?
Learn More
Learn More
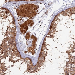
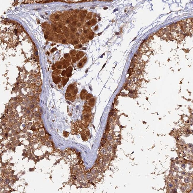
Invitrogen™ MNS1 Polyclonal Antibody

Rabbit Polyclonal Antibody
Supplier: Invitrogen™ PA559155
Description
Immunogen sequence: QQVRENSIEL RELEKKLKAA YMNKERAAQI AEKDAIKYEQ MKRDAEIAKT MMEEHKRIIK EENAAEDKRN KAKA Highest antigen sequence identity to the following orthologs: Mouse - 78%, Rat - 80%.
MNS1 may play a role in the control of meiotic division and germ cell differentiation through regulation of pairing and recombination during meiosis.
Specifications
MNS1 | |
Polyclonal | |
Unconjugated | |
MNS1 | |
AW546487; meiosis specific nuclear structural 1; meiosis-specific nuclear structural 1; meiosis-specific nuclear structural protein 1; Mns1; SPATA40; spermatogenesis associated 40 | |
Rabbit | |
Antigen affinity chromatography | |
RUO | |
55329 | |
Store at 4°C short term. For long term storage, store at -20°C, avoiding freeze/thaw cycles. | |
Liquid |
Immunohistochemistry (Paraffin), Western Blot | |
0.5 mg/mL | |
PBS with 40% glycerol and 0.02% sodium azide; pH 7.2 | |
Q8NEH6 | |
MNS1 | |
Recombinant protein corresponding to Human MNS1. Recombinant protein control fragment (Product #RP-98078). | |
100 μL | |
Primary | |
Human | |
Antibody | |
IgG |
Safety and Handling
WARNING: Cancer - www.P65Warnings.ca.gov
Product Content Correction
Your input is important to us. Please complete this form to provide feedback related to the content on this product.
Product Title
Spot an opportunity for improvement?Share a Content Correction