Promotional price valid on web orders only. Your contract pricing may differ. Interested in signing up for a dedicated account number?
Learn More
Learn More
MOBKL1A Monoclonal Antibody (OTI1H2), TrueMAB™, OriGene

Mouse Monoclonal Antibody
Supplier: OriGene TA501388
Description
MOB4A is similar to the yeast Mob1 protein. Yeast Mob1 binds Mps1p, a protein kinase essential for spindle pole body duplication and mitotic checkpoint regulation. Mob4A regulates NDR1 and NDR2 kinase activity, widely expressed nuclear serine-threonine kinases that have been implicated in cell proliferation and/or tumor progression.Specifications
| MOBKL1A | |
| Monoclonal | |
| 1 mg/mL | |
| PBS with 1% BSA, 50% glycerol and 0.02% sodium azide | |
| Q7L9L4 | |
| MOB1B | |
| Full length human recombit protein of human MOBKL1A produced in HEK293T cell. | |
| 100 μL | |
| Primary | |
| Human | |
| Antibody | |
| IgG2a |
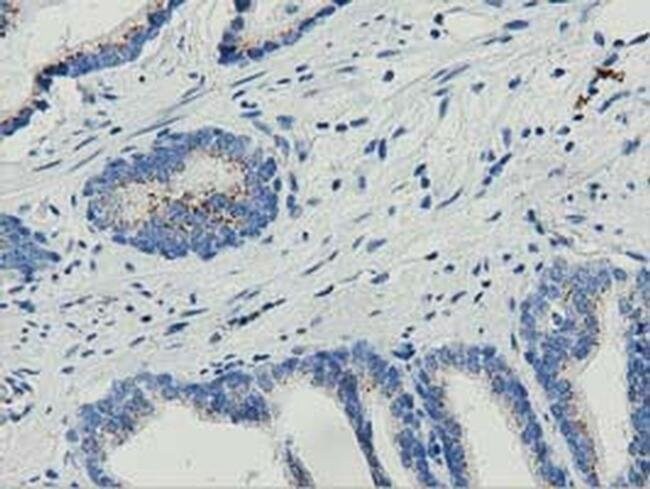
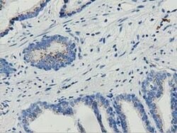
| Flow Cytometry, Immunohistochemistry (Paraffin), Western Blot | |
| OTI1H2 | |
| Unconjugated | |
| MOB1B | |
| MATS2, MOB4A, MOBKL1A | |
| Mouse | |
| Affinity Chromatography | |
| RUO | |
| 92597 | |
| -20° C, Avoid Freeze/Thaw Cycles | |
| Liquid |
Product Content Correction
The Fisher Scientific Encompass Program offers items which are not part of our distribution portfolio. These products typically do not have pictures or detailed descriptions. However, we are committed to improving your shopping experience. Please use the form below to provide feedback related to the content on this product.
Product Title
Spot an opportunity for improvement?Share a Content Correction