Promotional price valid on web orders only. Your contract pricing may differ. Interested in signing up for a dedicated account number?
Learn More
Learn More
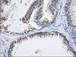
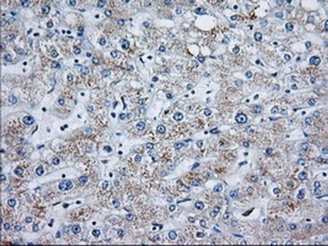
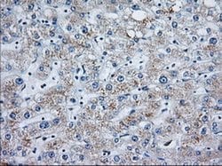
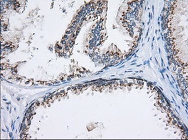
MOBKL1A Monoclonal Antibody (OTI3G9), TrueMAB™, OriGene

Mouse Monoclonal Antibody
Supplier: OriGene TA501363S


Description
MOBKL1A Monoclonal antibody specifically detects MOBKL1A in Human samples. It is validated for Immunohistochemistry (Paraffin), Western BlotSpecifications
MOBKL1A | |
Monoclonal | |
1 mg/mL | |
PBS with 1% BSA, 50% glycerol and 0.02% sodium azide | |
Q7L9L4 | |
Mouse | |
Affinity chromatography | |
RUO | |
92597 | |
-20° C, Avoid Freeze/Thaw Cycles | |
IgG2a |
Immunohistochemistry (Paraffin), Western Blot | |
OTI3G9 | |
Unconjugated | |
MOB1B | |
1110003E08Rik; AU015450; B230364F10; MATS2; MGC33910; MOB kinase activator 1B; mob1 homolog 1A; MOB1 Mps One Binder homolog B; MOB1, Mps One Binder kinase activator-like 1A; mob1A; MOB1B; MOB4A; Mobkl1a; mps one binder kinase activator-like 1A | |
Full length human recombinant protein of human MOBKL1A produced in HEK293T cell. | |
30 μL | |
Primary | |
Human | |
Liquid |
Product Content Correction
The Fisher Scientific Encompass Program offers items which are not part of our distribution portfolio. These products typically do not have pictures or detailed descriptions. However, we are committed to improving your shopping experience. Please use the form below to provide feedback related to the content on this product.
Product Title
Spot an opportunity for improvement?Share a Content Correction