Promotional price valid on web orders only. Your contract pricing may differ. Interested in signing up for a dedicated account number?
Learn More
Learn More
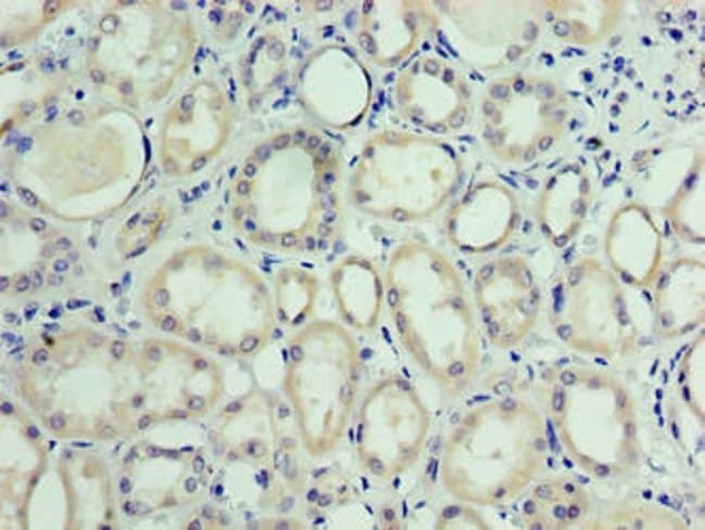
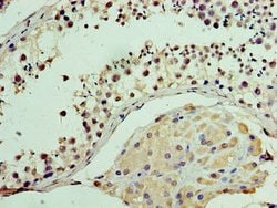
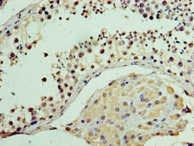
Invitrogen™ MON1A Polyclonal Antibody

Rabbit Polyclonal Antibody
Supplier: Invitrogen™ PA5113084
Description
MON1A Polyclonal Antibody for Western Blot, IHC (P), ELISA
MON1A is a cytosolic protein that peripherally associates with the ER. MON1A plays an important role in membrane trafficking through the secretory apparatus. MON1A affects different steps in the secretory pathway including endoplasmic reticulum-to-Golgi traffic. MON1A encodes several isoforms with MW about 62, 55, 45 and 34 kDa.
Specifications
| MON1A | |
| Polyclonal | |
| Unconjugated | |
| MON1A | |
| 2810468K17Rik; FLJ97088; MGC13272; MON1 homolog A; MON1 homolog A (yeast); MON1 homolog A, secretory trafficking associated; MON1 secretory trafficking family member A; Mon1a; RGD1308823; SAND1; Vacuolar fusion protein MON1 homolog A | |
| Rabbit | |
| Protein G | |
| RUO | |
| 84315 | |
| -20°C or -80°C if preferred | |
| Liquid |
| ELISA, Immunohistochemistry (Paraffin), Western Blot | |
| 5 mg/mL | |
| PBS with 50% glycerol and 0.03% ProClin 300; pH 7.4 | |
| Q86VX9 | |
| MON1A | |
| Recombinant Human Vacuolar fusion protein MON1 homolog A protein (205-555AA). | |
| 100 μg | |
| Primary | |
| Human | |
| Antibody | |
| IgG |
Safety and Handling
WARNING: Cancer - www.P65Warnings.ca.gov
Product Content Correction
Your input is important to us. Please complete this form to provide feedback related to the content on this product.
Product Title
Spot an opportunity for improvement?Share a Content Correction