Promotional price valid on web orders only. Your contract pricing may differ. Interested in signing up for a dedicated account number?
Learn More
Learn More
Invitrogen™ Mono-Methyl-Histone H2A.Z (Lys7) Polyclonal Antibody

Rabbit Polyclonal Antibody
Supplier: Invitrogen™ PA5121429
This item is not returnable.
View return policy
Description
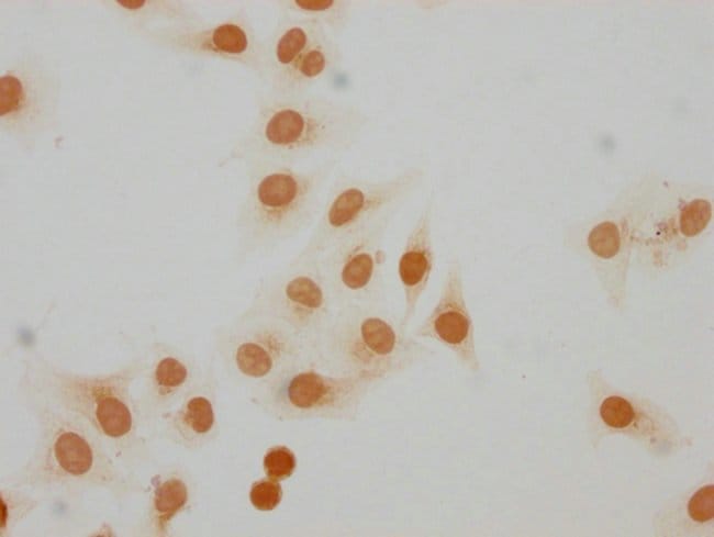
Antibody tested in Indirect ELISA.
Histones are basic nuclear proteins that are responsible for the nucleosome structure of the chromosomal fiber in eukaryotes. Two molecules of each of the four core histones (H2A, H2B, H3, and H4) form an octamer, around which approximately 146 bp of DNA is wrapped in repeating units, called nucleosomes. The linker histone, H1, interacts with linker DNA between nucleosomes and functions in the compaction of chromatin into higher order structures. This gene encodes a member of the histone H2A family, and generates two transcripts through the use of the conserved stem-loop termination motif, and the polyA addition motif.
Specifications
Mono-Methyl-Histone H2A.Z (Lys7) | |
Polyclonal | |
Unconjugated | |
H2AZ1 | |
11ac; C530002L11Rik; H2A histone family member V; H2A histone family member Z; H2A histone family member Z L homeolog; H2A histone family, member V; H2A histone family, member Va; H2A histone family, member Z; H2A.F/Z; H2A.z; H2A.Z variant histone 1; H2A.Z variant histone 2; H2A.Z variant histone 2a; H2A.Z1; H2a.z-1; H2A.Z-2; H2A.ZK5; H2A.ZK5ac; H2A.Zl; h2a.zl1; h2a.zl2; H2A/z; H2AF; H2AFV; h2afva; h2afz; h2afz.L; H2AFZac; H2AV; H2az; H2AZ histone; H2AZ1; H2AZ2; h2az2a; h2aza; H2AZK11ac; H2AZK7ac; histone (H2A.Z); histone H2A.F/Z; Histone H2A.V; Histone H2A.Z; histone H2A.Zl2; histone H2A.Z-like; histone variant H2A.F/Z; hypothetical protein; purine-rich binding element protein B; RCJMB04_2h11; Unknown (protein for MGC:133654); unnamed protein product; XELAEV_18005732mg; XH2AZ | |
Rabbit | |
Antigen Affinity Chromatography | |
RUO | |
3015, 94239 | |
-20°C or -80°C if preferred | |
Liquid |
ELISA, Immunocytochemistry | |
0.12 mg/mL | |
PBS with 50% glycerol and 0.03% ProClin 300; pH 7.4 | |
P0C0S5, Q71UI9 | |
H2AFZ, H2AZ1, H2az2 | |
Synthesized peptide derived from Human Histone H2A.Z protein (2-14aa). | |
100 μL | |
Primary | |
Human | |
Antibody | |
IgG |
Product Content Correction
Your input is important to us. Please complete this form to provide feedback related to the content on this product.
Product Title
Spot an opportunity for improvement?Share a Content Correction