Promotional price valid on web orders only. Your contract pricing may differ. Interested in signing up for a dedicated account number?
Learn More
Learn More
Invitrogen™ MOSC1 Polyclonal Antibody

Rabbit Polyclonal Antibody
Supplier: Invitrogen™ PA5119290
This item is not returnable.
View return policy
Description
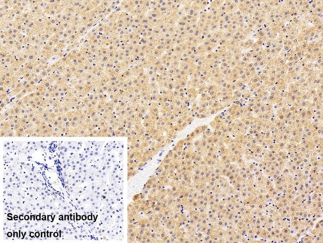
MOSC1 Polyclonal Antibody for Western Blot, ICC/IF, IHC (P)
MOSC1 (MOCO sulphurase C-terminal domain containing 1), also known as MARC1, is a 337 amino acid mitochondrial protein that is thought to function as an oxidoreductase. Existing as three alternatively spliced isoforms, MOSC1 contains one MOSC domain and binds molybdenum as a cofactor. The gene encoding MOSC1 maps to human chromosome 1, which spans 260 million base pairs, contains over 3,000 genes and comprises nearly 8% of the human genome.
Specifications
| MOSC1 | |
| Polyclonal | |
| Unconjugated | |
| MARC1 | |
| mARC1; mitochondrial amidoxime reducing component 1; mitochondrial amidoxime-reducing component 1; moco sulfurase C-terminal domain-containing protein 1; MOCO sulphurase C-terminal domain containing 1; molybdenum cofactor sulfurase C-terminal domain-containing protein 1; MOSC domain-containing protein 1; MOSC domain-containing protein 1, mitochondrial; MOSC1 | |
| Rabbit | |
| Antigen affinity chromatography, Protein A | |
| RUO | |
| 537028, 64757, 66112, 690745 | |
| Store at 4°C short term. For long term storage, store at -20°C, avoiding freeze/thaw cycles. | |
| Liquid |
| Immunohistochemistry (Paraffin), Western Blot, Immunocytochemistry | |
| 0.5 mg/mL | |
| PBS with 50% glycerol and 0.05% ProClin 300; pH 7.4 | |
| Q5VT66, Q9CW42 | |
| MARC1 | |
| Recombinant protein MOCO Sulphurase C-Terminal Domain Containing Protein 1. The antigen corresponds to amino acid range 41-335 of the target protein. | |
| 200 μL | |
| Primary | |
| Human, Mouse, Rat, Bovine | |
| Antibody | |
| IgG |
Safety and Handling
WARNING: Cancer - www.P65Warnings.ca.gov
Product Content Correction
Your input is important to us. Please complete this form to provide feedback related to the content on this product.
Product Title
Spot an opportunity for improvement?Share a Content Correction