Promotional price valid on web orders only. Your contract pricing may differ. Interested in signing up for a dedicated account number?
Learn More

ESR1, Mouse, Clone: 2B7, Abnova™

Mouse monoclonal antibody raised against recombinant ESR1.

Supplier:  Abnova Corporation MAB10439

Catalog No. 89-108-625


Only null left
Add to Cart

Description

Description

This gene encodes an estrogen receptor, a ligand-activated transcription factor composed of several domains important for hormone binding, DNA binding, and activation of transcription. The protein localizes to the nucleus where it may form a homodimer or a heterodimer with estrogen receptor 2. Estrogen and its receptors are essential for sexual development and reproductive function, but also play a role in other tissues such as bone. Estrogen receptors are also involved in pathological processes including breast cancer, endometrial cancer, and osteoporosis. Alternative splicing results in several transcript variants, which differ in their 5' UTRs and use different promoters. [provided by RefSeq]

Specifications

Specifications

ESR1
Monoclonal
Unconjugated
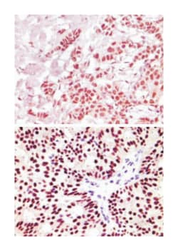
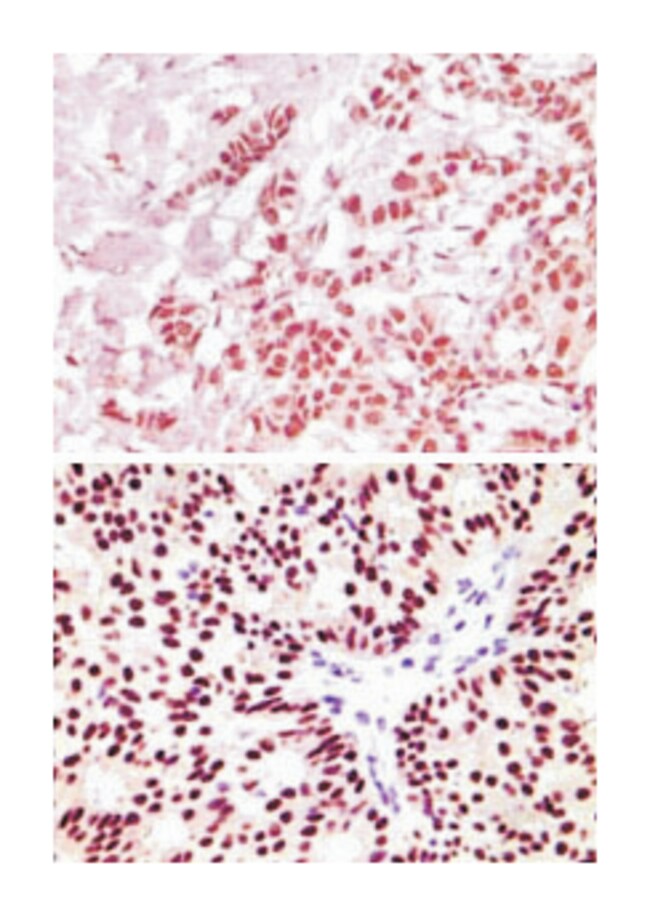
Western Blot (1:500-1:2000) Immunohistochemistry (1:200-1:1000) ELISA (1:10000) The optimal working dilution should be determined by the end user.
ESR1
ESR1
Recombinant protein corresponding to human ESR1.
RUO
2099
Store at 4°C. For long term storage store at -20°C.
Aliquot to avoid repeated freezing and thawing.
IgG1
ELISA, Immunohistochemistry (PFA fixed), Western Blot
2B7
Mouse monoclonal antibody raised against recombinant ESR1.
In PBS (0.03% sodium azide)
DKFZp686N23123/ER/ESR/ESRA/Era/NR3A1
Mouse
100 μL
Primary
Human
Liquid
Product Suggestions

Product Suggestions

Videos
SDS
Documents

Documents

Product Certifications
Promotions

Promotions

Product Content Correction

Your input is important to us. Please complete this form to provide feedback related to the content on this product.

Product Title

By clicking Submit, you acknowledge that you may be contacted by Fisher Scientific in regards to the feedback you have provided in this form. We will not share your information for any other purposes. All contact information provided shall also be maintained in accordance with our Privacy Policy.

Your feedback has been submitted: Thank you for helping us improve our website.