Promotional price valid on web orders only. Your contract pricing may differ. Interested in signing up for a dedicated account number?
Learn More

GOT2, Mouse, Clone: 14, Abnova™

Mouse monoclonal antibody raised against partial recombinant GOT2.

Supplier:  Abnova Corporation MAB9901

Catalog No. 89-113-859


Only null left
Add to Cart

Description

Description

Glutamic-oxaloacetic transaminase is a pyridoxal phosphate-dependent enzyme which exists in cytoplasmic and inner-membrane mitochondrial forms, GOT1 and GOT2, respectively. GOT plays a role in amino acid metabolism and the urea and tricarboxylic acid cycles. The two enzymes are homodimeric and show close homology. [provided by RefSeq

Specifications

Specifications

GOT2
Monoclonal
Unconjugated
Western blot (1:1000) The optimal working dilution should be determined by the end user.
GOT2
FLJ40994/KAT4/KATIV/mitAAT
Mouse
Affinity purification
RUO
2806
Human
Liquid
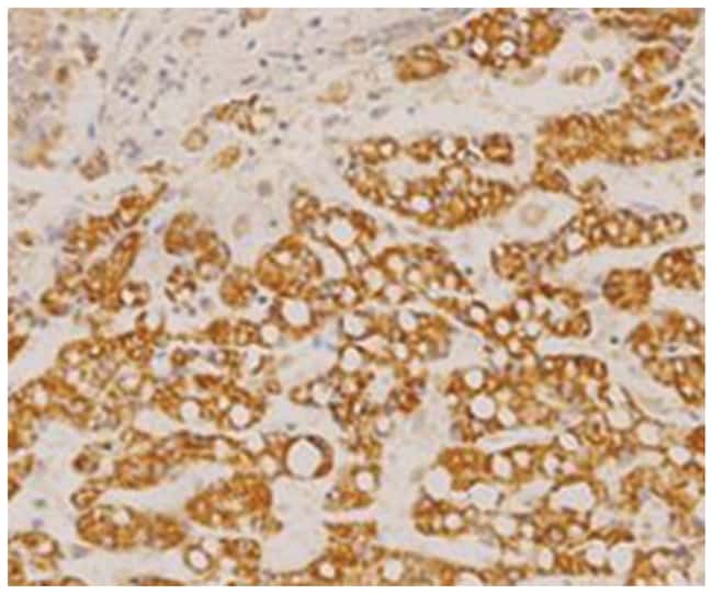
ELISA, Immunohistochemistry, Western Blot
14
Mouse monoclonal antibody raised against partial recombinant GOT2.
In Citrate-Tris-HCl buffer, pH 7.0 (0.02% Proclin 300)
NM_002080.2
GOT2
Recombinant protein corresponding to amino acids 225-430 of human GOT2.
100 μg
Primary
It can expression in HepG2 whole cell lysate.
Store at 4°C. For long term storage store at -20°C.
Aliquot to avoid repeated freezing and thawing.
IgG1
Product Suggestions

Product Suggestions

Videos
SDS
Documents

Documents

Product Certifications
Promotions

Promotions

Product Content Correction

Your input is important to us. Please complete this form to provide feedback related to the content on this product.

Product Title

By clicking Submit, you acknowledge that you may be contacted by Fisher Scientific in regards to the feedback you have provided in this form. We will not share your information for any other purposes. All contact information provided shall also be maintained in accordance with our Privacy Policy.

Your feedback has been submitted: Thank you for helping us improve our website.