Promotional price valid on web orders only. Your contract pricing may differ. Interested in signing up for a dedicated account number?
Learn More

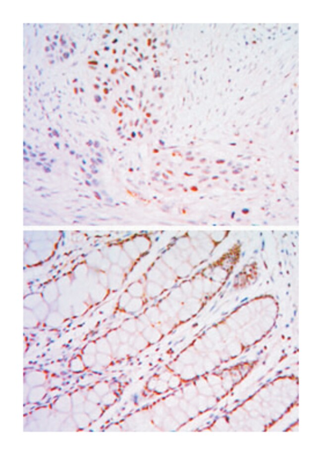
KLF4, Mouse, Clone: 1E5, Abnova™

Mouse monoclonal antibody raised against partial recombinant KLF4.

Supplier:  Abnova Corporation MAB10715

Catalog No. 89-108-918


Only null left
Add to Cart

Description

Description

Specifications

Specifications

KLF4
Monoclonal
Unconjugated
ELISA (1:10000) Western Blot (1:500-1:2000) Immunohistochemistry (1:200-1:1000) The optimal working dilution should be determined by the end user.
KLF4
KLF4
Recombinant protein corresponding to human KLF4.
RUO
9314
Store at 4°C. For long term storage store at -20°C.
Aliquot to avoid repeated freezing and thawing.
IgG1
ELISA, Immunohistochemistry, Western Blot
1E5
Mouse monoclonal antibody raised against partial recombinant KLF4.
In ascites (0.03% sodium azide)
EZF/GKLF
Mouse
100 μL
Primary
Human
Liquid
Product Suggestions

Product Suggestions

Videos
SDS
Documents

Documents

Product Certifications
Promotions

Promotions

Product Content Correction

Your input is important to us. Please complete this form to provide feedback related to the content on this product.

Product Title

By clicking Submit, you acknowledge that you may be contacted by Fisher Scientific in regards to the feedback you have provided in this form. We will not share your information for any other purposes. All contact information provided shall also be maintained in accordance with our Privacy Policy.

Your feedback has been submitted: Thank you for helping us improve our website.