Promotional price valid on web orders only. Your contract pricing may differ. Interested in signing up for a dedicated account number?
Learn More

VWF, Mouse, Clone: VWF635, Abnova™

Mouse monoclonal antibody raised against partial recombinant VWF.

Supplier:  Abnova Corporation MAB11356

Catalog No. 89-109-519


Only null left
Add to Cart

Description

Description

The glycoprotein encoded by this gene functions as both an antihemophilic factor carrier and a platelet-vessel wall mediator in the blood coagulation system. It is crucial to the hemostasis process. Mutations in this gene or deficiencies in this protein result in von Willebrand's disease. An unprocessed pseudogene has been found on chromosome 22. [provided by RefSeq]

Specifications

Specifications

VWF
Monoclonal
Unconjugated
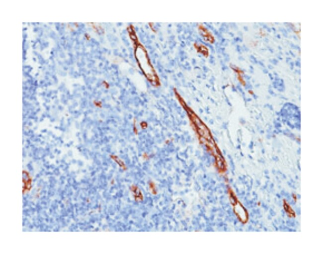
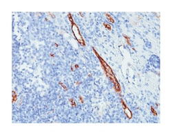
Immunofluorescence (1:100-1:200) Immunohistochemistry (1:100-1:200 for 30 min at RT) Immunoprecipitation (1-2 ug/500 ug protein) Western Blot (1:200-1:400) The optimal working dilution should be determined by the end user.
VWF
VWF
Recombinant protein corresponding to amino acids 845-949 of human VWF.
100 μg
Primary
Human
Liquid
Immunofluorescence, Immunohistochemistry, Immunoprecipitation, Western Blot
VWF635
Mouse monoclonal antibody raised against partial recombinant VWF.
In PBS, pH 7.4 (0.05% BSA, 0.05% sodium azide)
F8VWF/VWD
Mouse
Protein A/G affinity chromatography
RUO
7450
Store at 4°C.
Aliquot to avoid repeated freezing and thawing.
IgG1 κ
Product Suggestions

Product Suggestions

Videos
SDS
Documents

Documents

Product Certifications
Promotions

Promotions

Product Content Correction

Your input is important to us. Please complete this form to provide feedback related to the content on this product.

Product Title

By clicking Submit, you acknowledge that you may be contacted by Fisher Scientific in regards to the feedback you have provided in this form. We will not share your information for any other purposes. All contact information provided shall also be maintained in accordance with our Privacy Policy.

Your feedback has been submitted: Thank you for helping us improve our website.