Learn More
Mouse Carbonic Anhydrase IV/CA4 Antibody, R&D Systems™

Description
Specifications
Specifications
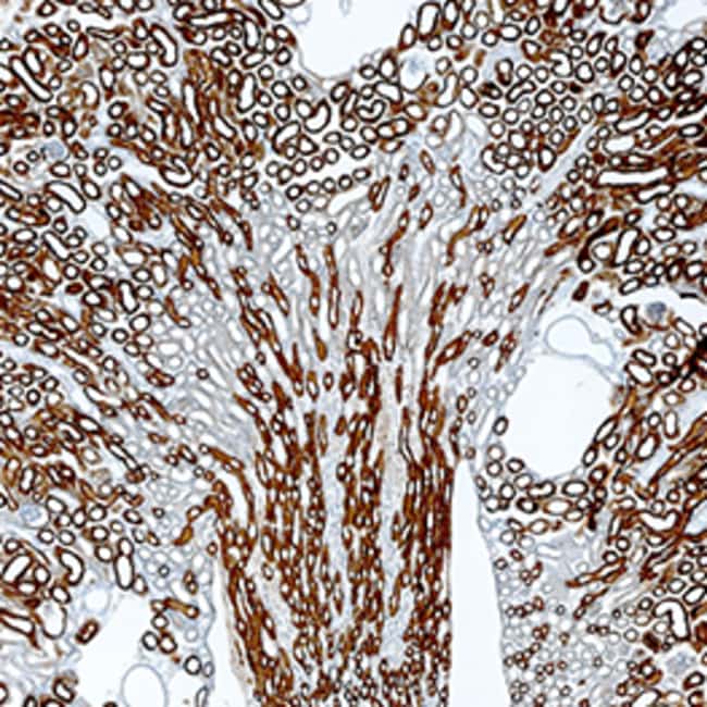
| Antigen | Carbonic Anhydrase IV/CA4 |
| Applications | Western Blot, Immunohistochemistry, Immunoprecipitation |
| Classification | Polyclonal |
| Concentration | LYOPH |
| Conjugate | Unconjugated |
| Dilution | Western Blot 0.25 ug/mL, Simple Western 12.5 ug/mL, Immunohistochemistry 5-15 ug/mL, Immunoprecipitation 25 ug/mL |
| Gene Accession No. | Q64444 |
| Gene Alias | CA4, CAIV, CA-IV, Car4, Carbonate dehydratase IV, carbonic anhydrase 4, carbonic anhydrase IVRP17, carbonic dehydratase IV, EC 4.2.1.1, retinitis pigmentosa 17 (autosomal dominant), RP17 |
| Gene Symbols | Car4 |
| Host Species | Goat |
| Show More |
By clicking Submit, you acknowledge that you may be contacted by Fisher Scientific in regards to the feedback you have provided in this form. We will not share your information for any other purposes. All contact information provided shall also be maintained in accordance with our Privacy Policy.