Promotional price valid on web orders only. Your contract pricing may differ. Interested in signing up for a dedicated account number?
Learn More
Learn More
Mouse/Rat Notch-1 Antibody, R&D Systems™

Goat Polyclonal Antibody has been used in 6 publications
Supplier: R&D Systems AF1057
This item is not returnable.
View return policy
Description
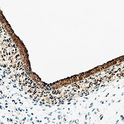
Notch-1 Polyclonal specifically detects Notch-1 in Mouse, Rat samples. It is validated for Western Blot, Flow Cytometry, Immunohistochemistry, Blockade of Receptor-ligand Interaction, Immunocytochemistry, CyTOF-ready.Specifications
| Notch-1 | |
| Polyclonal | |
| Unconjugated | |
| Q07008 | |
| NOTCH1 | |
| Mouse myeloma cell line NS0-derived recombinant rat Notch-1 Arg20-Glu488 (Ala208Thr, Asp334Glu) Accession # Q07008 | |
| 100 μg | |
| Primary | |
| Detects rat Notch-1 in direct ELISAs and Western blots. In direct ELISAs and Western blots, less than 5% cross-reactivity with recombinant rat Notch-2 and recombinant mouse Notch-3 is observed. | |
| Mouse, Rat | |
| IgG |
| Western Blot, Flow Cytometry, Immunohistochemistry, Blockade of Receptor-ligand Interaction, Immunocytochemistry | |
| LYOPH | |
| Western Blot 0.1 ug/mL, Flow Cytometry 2.5 ug/10^6 cells, Immunohistochemistry 5-15 ug/mL, Blockade of Receptor-ligand Interaction 1-3 ug/mL, Immunocytochemistry 5-15 ug/mL, CyTOF-ready | |
| EC 2.1.2.11, EC 3.4.21.68, hN1, Notch (Drosophila) homolog 1 (translocation-associated), notch 1Notch homolog 1, translocation-associated (Drosophila), Notch homolog 1, translocation-associated, Notch1, TAN1, TAN1neurogenic locus notch homolog protein 1, Translocation-associated notch protein TAN-1 | |
| Goat | |
| Affinity Purified | |
| RUO | |
| 4851 | |
| Reconstitute at 0.2 mg/mL in sterile PBS. | |
| Use a manual defrost freezer and avoid repeated freeze-thaw cycles. 12 months from date of receipt, -20 to -70 degreesC as supplied. 1 month, 2 to 8 degreesC under sterile conditions after reconstitution. 6 months, -20 to -70 degreesC under sterile conditions after reconstitution. |
Product Content Correction
Your input is important to us. Please complete this form to provide feedback related to the content on this product.
Product Title
Spot an opportunity for improvement?Share a Content Correction