Promotional price valid on web orders only. Your contract pricing may differ. Interested in signing up for a dedicated account number?
Learn More
Learn More
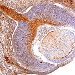
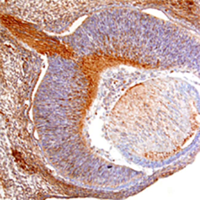
Mouse RGM-A Antibody, R&D Systems™

Goat Polyclonal Antibody
Supplier: R&D Systems AF2458SP
This item is not returnable.
View return policy
Description
RGM-A Polyclonal specifically detects RGM-A in Mouse samples. It is validated for Western Blot, Immunohistochemistry.Specifications
RGM-A | |
Polyclonal | |
Unconjugated | |
Lyophilized from a 0.2 μm filtered solution in PBS with Trehalose. *Small pack size (SP) is supplied as a 0.2 μm filtered solution in PBS. with No Preservative | |
RGM domain family member A, RGM domain family, member A, RGMA, RGMrepulsive guidance molecule A | |
Goat | |
Affinity Purified | |
RUO | |
56963 | |
Reconstitute at 0.2 mg/mL in sterile PBS. | |
Use a manual defrost freezer and avoid repeated freeze-thaw cycles. 12 months from date of receipt, -20 to -70 degreesC as supplied. 1 month, 2 to 8 degreesC under sterile conditions after reconstitution. 6 months, -20 to -70 degreesC under sterile conditions after reconstitution. |
Western Blot, Immunohistochemistry | |
LYOPH | |
Western Blot 0.1 ug/mL, Immunohistochemistry 5-15 ug/mL | |
Q6PCX7 | |
RGMA | |
Mouse myeloma cell line NS0-derived recombinant mouse RGM-A Cys48-Gly421 Accession # Q6PCX7 | |
25 μg | |
Primary | |
Detects mouse RGM-A in direct ELISAs and Western blots. | |
Mouse | |
IgG |
Product Content Correction
Your input is important to us. Please complete this form to provide feedback related to the content on this product.
Product Title
For Research Use Only
Spot an opportunity for improvement?Share a Content Correction