Promotional price valid on web orders only. Your contract pricing may differ. Interested in signing up for a dedicated account number?
Learn More
Learn More
Invitrogen™ MPP3 Polyclonal Antibody

Rabbit Polyclonal Antibody
Supplier: Invitrogen™ PA521844
Description
Recommended positive controls: 293T, A431, H1299, HeLaS3, HepG2, Molt-4, Raji. Predicted reactivity: Mouse (97%), Rat (96%). Store product as a concentrated solution. Centrifuge briefly prior to opening the vial.
This gene product is a member of a family of membrane-associated proteins termed MAGUKs (membrane-associated guanylate kinase homologs). MAGUKs interact with the cytoskeleton and regulate cell proliferation, signaling pathways, and intracellular junctions. This protein contains a conserved sequence, called the SH3 (src homology 3) motif, found in several other proteins that associate with the cytoskeleton and are suspected to play important roles in signal transduction. Alternatively spliced transcript variants have been identified. One transcript variant is experimentally supported, but it doesn't encode a protein.
Specifications
MPP3 | |
Polyclonal | |
Unconjugated | |
Mpp3 | |
6430514B01; CSG18; discs large homolog 3; discs, large homolog 3; DLG3; Dlgh3; Dusp3; MAGUK p55 subfamily member 3; MAGUK p55 subfamily member 3 {ECO:0000250; membrane palmitoylated protein 3; membrane protein palmitoylated 3; membrane protein, palmitoylated 3 (MAGUK p55 subfamily member 3); Mpp3; mpp3 {ECO:0000312; Mpp3 membrane protein, palmitoylated 3; protein Dlgh3; protein MPP3; RGD:620015}; UniProtKB:O88910} | |
Rabbit | |
Antigen affinity chromatography | |
RUO | |
13384, 4356 | |
Store at 4°C short term. For long term storage, store at -20°C, avoiding freeze/thaw cycles. | |
Liquid |
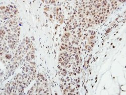
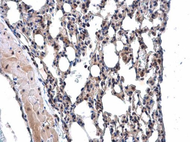
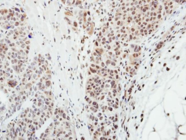
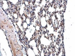
Immunohistochemistry (Paraffin), Western Blot | |
0.39 mg/mL | |
0.1M tris glycine with 10% glycerol and 0.01% thimerosal; pH 7 | |
O88910, Q13368 | |
Mpp3 | |
Recombinant protein encompassing a sequence within the center region of human MPP3. The exact sequence is proprietary. | |
100 μL | |
Primary | |
Human, Mouse | |
Antibody | |
IgG |
Safety and Handling
WARNING: Cancer - www.P65Warnings.ca.gov
Product Content Correction
Your input is important to us. Please complete this form to provide feedback related to the content on this product.
Product Title
Spot an opportunity for improvement?Share a Content Correction