Learn More
Invitrogen™ MPST Polyclonal Antibody

Rabbit Polyclonal Antibody
Supplier: Invitrogen™ PA551548
Description
Immunogen sequence: AVSLLDGGLR HWLRQNLPLS SGKSQPAPAE FRAQLDPAFI KTYEDIKENL ESRRFQVVDS RATGRFRGTE PEPRDGIEPG HIPGTVNIPF TDFLSQEGLE KSPEEIRHLF QEKKVDLSKP LVATCGSGVT ACHVALGAYL CGKPD Highest antigen sequence identity to the following orthologs: Mouse - 81%, Rat - 82%.
This protein encoded by this gene catalyzes the transfer of a sulfur ion from 3-mercaptopyruvate to cyanide or other thiol compounds. It may be involved in cysteine degradation and cyanide detoxification. There is confusion in literature between this protein (mercaptopyruvate sulfurtransferase, MPST), which appears to be cytoplasmic, and thiosulfate sulfurtransferase (rhodanese, TST, GeneID:7263), which is a mitochondrial protein. Deficiency in MPST activity has been implicated in a rare inheritable disorder known as mercaptolactate-cysteine disulfiduria (MCDU). Alternatively spliced transcript variants encoding same or different isoforms have been identified for this gene.
Specifications
| MPST | |
| Polyclonal | |
| Unconjugated | |
| Mpst | |
| 3-mercaptopyruvate sulfurtransferase; human liver rhodanese; mercaptopyruvate sulfurtransferase; MPST; MST; testicular tissue protein Li 200; tRNA thiouridin modification protein 1; TST2; TUM1 | |
| Rabbit | |
| Antigen affinity chromatography | |
| RUO | |
| 4357 | |
| Store at 4°C short term. For long term storage, store at -20°C, avoiding freeze/thaw cycles. | |
| Liquid |
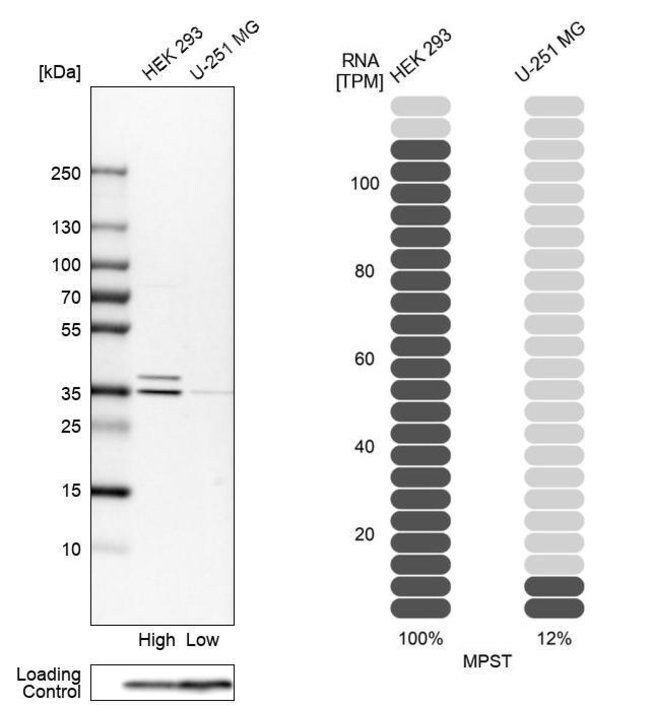
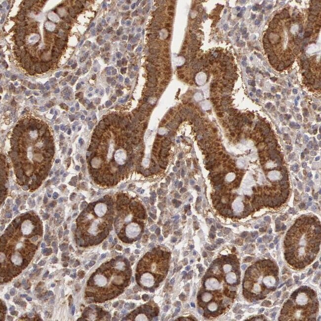
| Immunohistochemistry (Paraffin), Western Blot, Immunocytochemistry | |
| 0.10 mg/mL | |
| PBS with 40% glycerol and 0.02% sodium azide; pH 7.2 | |
| P25325 | |
| Mpst | |
| Recombinant protein corresponding to Human MPST. Recombinant protein control fragment (Product #RP-91349). | |
| 100 μL | |
| Primary | |
| Human | |
| Antibody | |
| IgG |
Safety and Handling
Your input is important to us. Please complete this form to provide feedback related to the content on this product.