Promotional price valid on web orders only. Your contract pricing may differ. Interested in signing up for a dedicated account number?
Learn More
Learn More
Invitrogen™ MRPL10 Polyclonal Antibody

Rabbit Polyclonal Antibody
Supplier: Invitrogen™ PA556282
Description
Immunogen sequence: RLPTLQTVRY GSKAVTRHRR VMHFQRQKLM AVTEYIPPKP AIHPSCLPSP PSPPQEEIGL IRLLRREIAA VFQDNRMIAV CQ Highest antigen sequence identity to the following orthologs: Mouse - 82%, Rat - 83%.
Mammalian mitochondrial ribosomal proteins are encoded by nuclear genes and help in protein synthesis within the mitochondrion. Mitochondrial ribosomes (mitoribosomes) consist of a small 28S subunit and a large 39S subunit. They have an estimated 75% protein to rRNA composition compared to prokaryotic ribosomes, where this ratio is reversed. Another difference between mammalian mitoribosomes and prokaryotic ribosomes is that the latter contain a 5S rRNA. Among different species, the proteins comprising the mitoribosome differ greatly in sequence, and sometimes in biochemical properties, which prevents easy recognition by sequence homology. This gene encodes a 39S subunit protein. A pseudogene corresponding to this gene is found on chromosome 5q.
Specifications
MRPL10 | |
Polyclonal | |
Unconjugated | |
MRPL10 | |
0610040E02Rik; 39S ribosomal protein L10, mitochondrial; 39S ribosomal protein L8, mitochondrial; C78440; L10MT; L8mt; Mitochondrial large ribosomal subunit protein uL10m; mitochondrial ribosomal protein L10; MRPL10; MRP-L10; MRPL8; MRP-L8; Rpml8 | |
Rabbit | |
Antigen affinity chromatography | |
RUO | |
124995 | |
Store at 4°C short term. For long term storage, store at -20°C, avoiding freeze/thaw cycles. | |
Liquid |
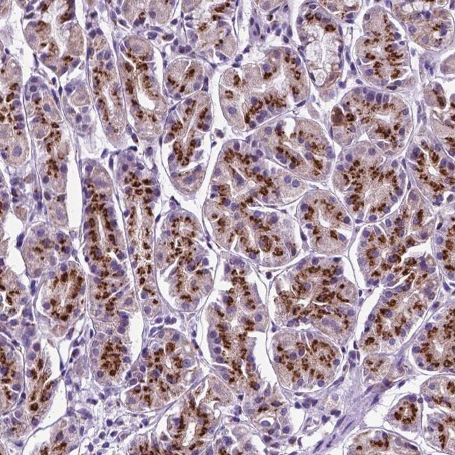
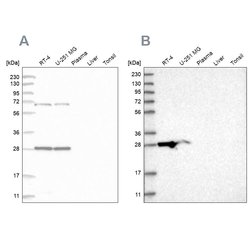
Immunohistochemistry (Paraffin), Western Blot, Immunocytochemistry | |
0.4 mg/mL | |
PBS with 40% glycerol and 0.02% sodium azide; pH 7.2 | |
Q7Z7H8 | |
MRPL10 | |
Recombinant protein corresponding to Human MRPL10. Recombinant protein control fragment (Product #RP-103959). | |
100 μL | |
Primary | |
Human | |
Antibody | |
IgG |
Product Content Correction
Your input is important to us. Please complete this form to provide feedback related to the content on this product.
Product Title
Spot an opportunity for improvement?Share a Content Correction