Promotional price valid on web orders only. Your contract pricing may differ. Interested in signing up for a dedicated account number?
Learn More
Learn More
Invitrogen™ MRPL12 Polyclonal Antibody

Rabbit Polyclonal Antibody
Supplier: Invitrogen™ PA5112178
Description
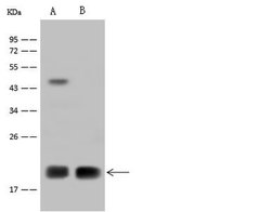
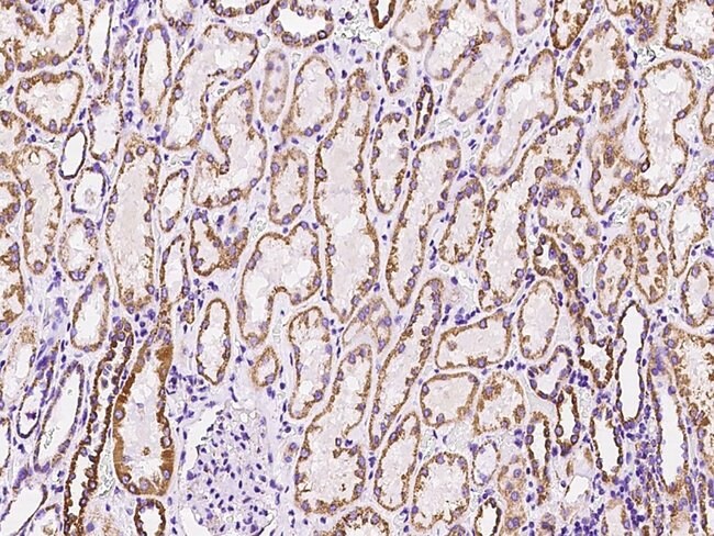
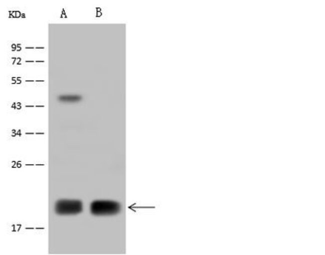
MRPL12 Polyclonal Antibody for Western Blot, ICC/IF, IHC (P), IP
MRPL12 (mitochondrial ribosomal protein L12), also referred to as 5c5-2, L12mt, MRPL7 or RPML12, is a mammalian mitochondrial ribosomal protein that is involved in protein synthesis within the mitochondrion. MRPL12 is enhanced in growth-stimulated cells as a result of transcriptional activation, suggesting that it may function as a translational regulator of mitochondrial mRNAs. Impairment of MRPL12 leads to reduction in cell growth rate, decreased mitochondrial ATP production and abolition of mitochondrial oxidative phosphorylation. MRPL12 is cleaved during its translocation across the mitochondrial membrane and it exists as dimers that bind the large ribosomal subunit. MRPL12 is 198 amino acids in length, belongs to the ribosomal protein L12P family and is highly expressed in the colon.
Specifications
| MRPL12 | |
| Polyclonal | |
| Unconjugated | |
| MRPL12 | |
| 0610034O11Rik; 1500031N16Rik; 39S ribosomal protein L12, mitochondrial; 5c5-2; FLJ60124; hypothetical protein LOC550391; im:6893415; L12mt; MGC8610; Mitochondrial large ribosomal subunit protein bL12m; mitochondrial ribosomal protein L12; mitochondrial ribosomal protein L7/12; MRPL12; MRP-L12; MRP-L31/34; MRPL7; MRPL7/L12; ribosomal protein, mitochondrial, L12; Rpm12; RPML12; zgc:112445 | |
| Rabbit | |
| Antigen Affinity Chromatography, Protein A | |
| RUO | |
| 6182 | |
| Store at 4°C short term. For long term storage, store at -20°C, avoiding freeze/thaw cycles. | |
| Liquid |
| Immunohistochemistry (Paraffin), Immunoprecipitation, Western Blot, Immunocytochemistry | |
| 1 mg/mL | |
| PBS with 0.03% ProClin 300; pH 7 | |
| P52815 | |
| MRPL12 | |
| E. coli-derived Human MRPL12 fragment. | |
| 100 μL | |
| Primary | |
| Human | |
| Antibody | |
| IgG |
Safety and Handling
WARNING: Cancer - www.P65Warnings.ca.gov
Product Content Correction
Your input is important to us. Please complete this form to provide feedback related to the content on this product.
Product Title
Spot an opportunity for improvement?Share a Content Correction