Promotional price valid on web orders only. Your contract pricing may differ. Interested in signing up for a dedicated account number?
Learn More
Learn More
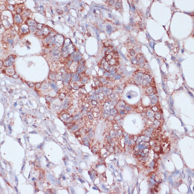
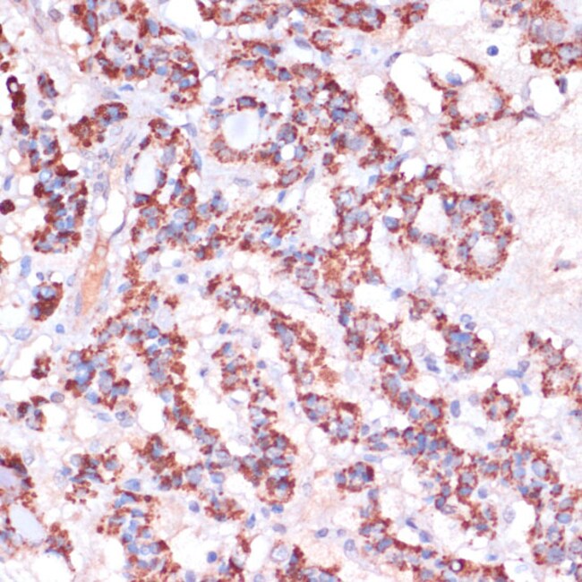
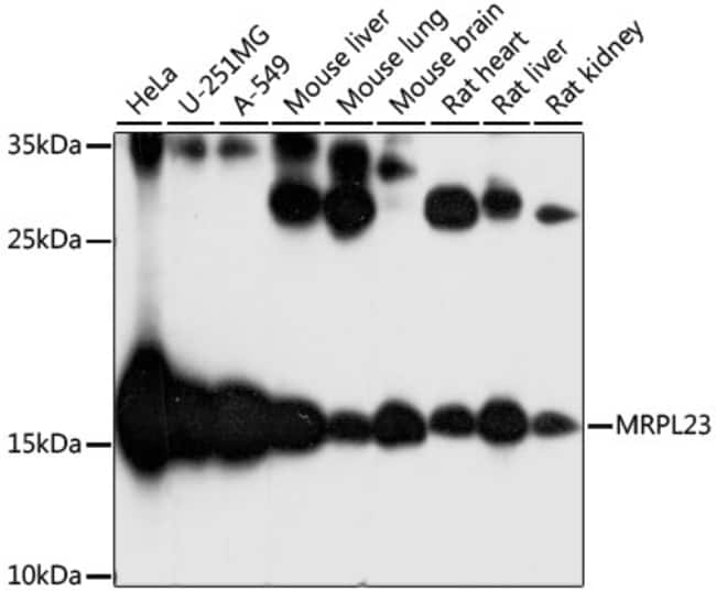
Invitrogen™ MRPL23 Polyclonal Antibody

Rabbit Polyclonal Antibody
Supplier: Invitrogen™ PA5109978
Description
Immunogen sequence: MARNVVYPLY RLGGPQLRVF RTNFFIQLVR PGVAQPEDTV QFRIPMEMTR VDLRNYLEGI YNVPVAAVRT RVQHGSNKRR DHRNVRIKKP DYKVAYVQLA HGQTFTFPDL FPEKDESPEG SAADDLYSML EEERQQRQSS DPRRGGVPSW FGL.
MRPL23 are mammalian mitochondrial ribosomal proteins are encoded by nuclear genes and help in protein synthesis within the mitochondrion. Mitochondrial ribosomes (mitoribosomes) consist of a small 28S subunit and a large 39S subunit. They have an estimated 75% protein to rRNA composition compared to prokaryotic ribosomes, where this ratio is reversed. Another difference between mammalian mitoribosomes and prokaryotic ribosomes is that the latter contain a 5S rRNA. Among different species, the proteins comprising the mitoribosome differ greatly in sequence, and sometimes in biochemical properties, which prevents easy recognition by sequence homology. MRPL23 encodes a 39S subunit protein and is biallelically expressed, despite its location within a region of imprinted genes on chromosome 11.
Specifications
| MRPL23 | |
| Polyclonal | |
| Unconjugated | |
| MRPL23 | |
| 39S ribosomal protein L23, mitochondrial; FLJ45387; L23 mitochondrial-related protein; L23mrp; L23mt; Mitochondrial large ribosomal subunit protein uL23m; mitochondrial ribosomal protein L23; Mrpl23; MRP-L23; Ribosomal protein L23-like; ribosomal protein L23-related product homolog; ribosomal protein related to L23 (mitochondrial); rL23MRP; Rpl23; RPL23L; Rpl23-rs | |
| Rabbit | |
| Affinity Chromatography | |
| RUO | |
| 19935, 6150, 64360 | |
| -20°C, Avoid Freeze/Thaw Cycles | |
| Liquid |
| ELISA, Immunohistochemistry (Paraffin), Western Blot, Immunocytochemistry | |
| 1.81 mg/mL | |
| PBS with 50% glycerol and 0.01% thimerosal; pH 7.3 | |
| O35972, Q16540, Q63750 | |
| MRPL23 | |
| Recombinant fusion protein containing a sequence corresponding to amino acids 1-153 of human MRPL23 (NP_066957.3). | |
| 100 μL | |
| Primary | |
| Human, Mouse, Rat | |
| Antibody | |
| IgG |
Product Content Correction
Your input is important to us. Please complete this form to provide feedback related to the content on this product.
Product Title
Spot an opportunity for improvement?Share a Content Correction