Promotional price valid on web orders only. Your contract pricing may differ. Interested in signing up for a dedicated account number?
Learn More

MRPS18A Polyclonal Antibody, Invitrogen™

Rabbit Polyclonal Antibody

Supplier:  Thermo Scientific PA538950

Catalog No. PIPA538950


Description

Description

Mammalian mitochondrial ribosomal proteins are encoded by nuclear genes and help in protein synthesis within the mitochondrion. Mitochondrial ribosomes (mitoribosomes) consist of a small 28S subunit and a large 39S subunit. They have an estimated 75% protein to rRNA composition compared to prokaryotic ribosomes, where this ratio is reversed. Another difference between mammalian mitoribosomes and prokaryotic ribosomes is that the latter contain a 5S rRNA. Among different species, the proteins comprising the mitoribosome differ greatly in sequence, and sometimes in biochemical properties, which prevents easy recognition by sequence homology. This gene encodes a 28S subunit protein that belongs to the ribosomal protein S18P family. The encoded protein is one of three that has significant sequence similarity to bacterial S18 proteins. The primary sequences of the three human mitochondrial S18 proteins are no more closely related to each other than they are to the prokaryotic S18 proteins. A pseudogene corresponding to this gene is found on chromosome 3p. Alternative splicing results in multiple transcript variants.[provided by RefSeq, Jul 2010].
TRUSTED_SUSTAINABILITY
Specifications

Specifications

MRPS18A
Polyclonal
Unconjugated
MRPS18A
HumanS18b, MRP-S18-3, MRPS18-3, S18bmt, 28S ribosomal protein S18-3, mitochondrial, 28S ribosomal protein S18a, mitochondrial, MRP-S18-a, S18mt-a, mitochondrial ribosomal protein S18-3
Rabbit
Antigen affinity chromatography
RUO
301249, 55168, 68565
-20°C
Liquid
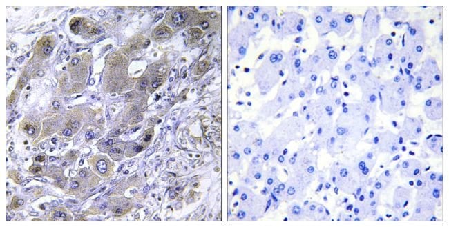
Immunohistochemistry (Paraffin)
1 mg/mL
Dulbecco′s PBS with 150mM NaCl, 50% glycerol and 0.02% sodium azide; pH 7.4
Q9NVS2, Q99N85
MRPS18A
A synthetic peptide derived from the internal region of human MRPS18A
100 μg
Primary
Human, Mouse, Rat
Antibody
IgG
Product Suggestions

Product Suggestions

Videos
Safety and Handling

Safety and Handling

WARNING: Cancer - www.P65Warnings.ca.gov
SDS
Documents

Documents

Product Certifications
Promotions

Promotions

Product Content Correction

Your input is important to us. Please complete this form to provide feedback related to the content on this product.

Product Title

By clicking Submit, you acknowledge that you may be contacted by Fisher Scientific in regards to the feedback you have provided in this form. We will not share your information for any other purposes. All contact information provided shall also be maintained in accordance with our Privacy Policy.

Your feedback has been submitted: Thank you for helping us improve our website.