Promotional price valid on web orders only. Your contract pricing may differ. Interested in signing up for a dedicated account number?
Learn More
Learn More
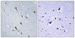
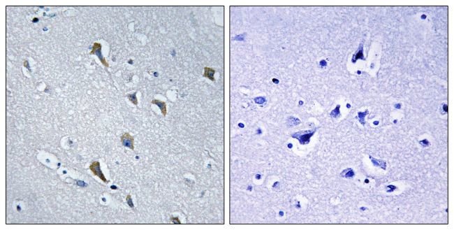
MRPS2 Polyclonal Antibody, Invitrogen™
Rabbit Polyclonal Antibody
Supplier: Thermo Scientific PA539239
Description
Mammalian mitochondrial ribosomal proteins are encoded by nuclear genes and help in protein synthesis within the mitochondrion. Mitochondrial ribosomes (mitoribosomes) consist of a small 28S subunit and a large 39S subunit. They have an estimated 75% protein to rRNA composition compared to prokaryotic ribosomes, where this ratio is reversed. Another difference between mammalian mitoribosomes and prokaryotic ribosomes is that the latter contain a 5S rRNA. Among different species, the proteins comprising the mitoribosome differ greatly in sequence, and sometimes in biochemical properties, which prevents easy recognition by sequence homology. This gene encodes a 28S subunit protein that belongs to the ribosomal protein S2 family. Alternatively spliced transcript variants have been observed for this gene. [provided by RefSeq, May 2012].
Specifications
MRPS2 | |
Polyclonal | |
Unconjugated | |
MRPS2 | |
MRPS2 | |
A synthetic peptide derived from the C-terminal region of human MRPS2 | |
100 μg | |
Primary | |
Human | |
Antibody | |
IgG |
Immunohistochemistry (Paraffin), Western Blot | |
1 mg/mL | |
Dulbecco′s PBS with 150mM NaCl, 50% glycerol and 0.02% sodium azide; pH 7.4 | |
Q9Y399 | |
Rabbit | |
Antigen affinity chromatography | |
RUO | |
51116 | |
-20°C | |
Liquid |
Product Content Correction
Your input is important to us. Please complete this form to provide feedback related to the content on this product.
Product Title
Spot an opportunity for improvement?Share a Content Correction