Promotional price valid on web orders only. Your contract pricing may differ. Interested in signing up for a dedicated account number?
Learn More
Learn More
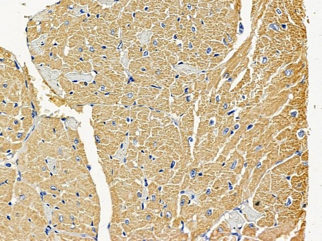
Invitrogen™ MRPS22 Polyclonal Antibody

Rabbit Polyclonal Antibody
Supplier: Invitrogen™ PA5118855
Description
Antibody detects endogenous levels of total MRPS22.
Mammalian mitochondrial ribosomal proteins are encoded by nuclear genes and help in protein synthesis within the mitochondrion. Mitochondrial ribosomes (mitoribosomes) consist of a small 28S subunit and a large 39S subunit. They have an estimated 75% protein to rRNA composition compared to prokaryotic ribosomes, where this ratio is reversed. Another difference between mammalian mitoribosomes and prokaryotic ribosomes is that the latter contain a 5S rRNA. Among different species, the proteins comprising the mitoribosome differ greatly in sequence, and sometimes in biochemical properties, which prevents easy recognition by sequence homology. This gene encodes a 28S subunit protein that does not seem to have a counterpart in prokaryotic and fungal-mitochondrial ribosomes. This gene lies telomeric of and is transcribed in the opposite direction from the forkhead box L2 gene. A pseudogene corresponding to this gene is found on chromosome Xq.
Specifications
| MRPS22 | |
| Polyclonal | |
| Unconjugated | |
| MRPS22 | |
| 28S ribosomal protein S22, mitochondrial; 3100002P07Rik; C3orf5; COXPD5; GIBT; GK002; mitochondrial ribosomal protein S22; Mitochondrial small ribosomal subunit protein mS22; MRPS22; MRP-S22; ribosomal protein, mitochondrial, S22; Rpms22; S22mt | |
| Rabbit | |
| Affinity Chromatography | |
| RUO | |
| 56945, 64655 | |
| -20°C | |
| Liquid |
| Immunohistochemistry (Paraffin), Western Blot, Immunocytochemistry | |
| 1 mg/mL | |
| PBS with 50% glycerol and 0.02% sodium azide; pH 7.4 | |
| P82650, Q9CXW2 | |
| MRPS22 | |
| A synthesized peptide derived from human MRPS22(Accession P82650), corresponding to amino acid residues D287-Q337. | |
| 100 μL | |
| Primary | |
| Human, Mouse | |
| Antibody | |
| IgG |
Safety and Handling
WARNING: Cancer - www.P65Warnings.ca.gov
Product Content Correction
Your input is important to us. Please complete this form to provide feedback related to the content on this product.
Product Title
Spot an opportunity for improvement?Share a Content Correction