Promotional price valid on web orders only. Your contract pricing may differ. Interested in signing up for a dedicated account number?
Learn More

MSH6 Goat anti-Human, Polyclonal, Bethyl Laboratories

Goat Polyclonal Antibody

Supplier:  Bethyl Laboratories, Inc A300022A

Encompass_Preferred

Catalog No. 50-155-6749


May include imposed supplier surcharges.
Only null left
Add to Cart

Description

Description

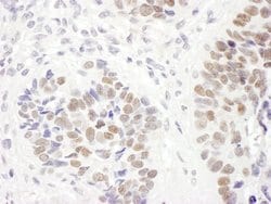
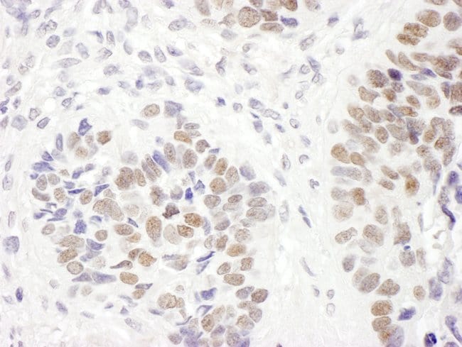
The recommended shelf life for this product is 1 year from date of receipt. Application Note: For IHC, epitope retrieval with citrate buffer pH 6.0 is recommended for FFPE tissue sections.

Defects in MSH6 are a cause of hereditary non-polyposis colorectal cancer (HNPCC) (Lynch syndrome). HNPCC is an autosomal, domitly inherited disease associated with marked increase in cancer susceptibility. it is characterized by a familial predisposition to early onset colorectal carcinoma (crc) and extra-colonic cancers of the gastrointestinal, urological and female reproductive tracts. HNPCC is reported to be the most common form of inherited colorectal cancer in the western world. MSH6 is central to mismatch DNA repair.
Specifications

Specifications

MSH6
Polyclonal
Unconjugated
MSH6
GTBP, HNPCC5, HSAP
Goat
Antigen affinity chromatography
RUO
2956
4° C
Liquid
Immunohistochemistry, Western Blot
1 mg/ml
phosphate, tris citrate with 0.09% sodium azide; pH 7-8
P52701
MSH6
Between 350 and 400
100 μL
Primary
Human
Antibody
IgG
Product Suggestions

Product Suggestions

Videos
SDS
Documents

Documents

Product Certifications
Promotions

Promotions

Product Content Correction

The Fisher Scientific Encompass Program offers items which are not part of our distribution portfolio. These products typically do not have pictures or detailed descriptions. However, we are committed to improving your shopping experience. Please use the form below to provide feedback related to the content on this product.

Product Title

By clicking Submit, you acknowledge that you may be contacted by Fisher Scientific in regards to the feedback you have provided in this form. We will not share your information for any other purposes. All contact information provided shall also be maintained in accordance with our Privacy Policy.

Your feedback has been submitted: Thank you for helping us improve our website.