Promotional price valid on web orders only. Your contract pricing may differ. Interested in signing up for a dedicated account number?
Learn More

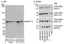
MST1-2/STK3-4 Rabbit anti-Human, Mouse, Polyclonal, Bethyl Laboratories

Rabbit Polyclonal Antibody

Supplier:  Bethyl Laboratories, Inc A300468A

Encompass_Preferred

Catalog No. 50-155-7694


May include imposed supplier surcharges.
Only null left
Add to Cart

Description

Description

The recommended shelf life for this product is 1 year from date of receipt. Application Note: For IHC, epitope retrieval with Tris-EDTA pH 9.0 is recommended for FFPE tissue sections. Based on 100% sequence identity, this antibody is predicted to react with Rat, Zebrafish and X. laevis

Protein kinase activation is a frequent response of cells to treatment with growth factors, chemicals, heat shock, or apoptosis-inducing agents. This protein kinase activation presumably allows cells to resist unfavorable environmental conditions. The yeast ′sterile 20′ (Ste20) kinase acts upstream of the mitogen-activated protein kinase (MAPK) cascade that is activated under a variety of stress conditions. MST2 was identified as a kinase that is activated by the proapoptotic agents straurosporine and FAS ligand (MIM 134638) (Taylor et al., 1996 [PubMed 8816758]; Lee et al., 2001 [PubMed 11278283]).
Specifications

Specifications

MST1-2/STK3-4
Polyclonal
Unconjugated
STK3
MST-2; STE20-like kinase MST2; mammalian STE20-like protein kinase 2; serine/threonine kinase 3 (STE20 homolog, yeast); serine/threonine kinase 3 (Ste20, yeast homolog); serine/threonine-protein kinase 3; serine/threonine-protein kinase Krs-1
Rabbit
Antigen affinity chromatography
RUO
56274, 58231, 6788, 6789
4° C
Liquid
Immunohistochemistry, Immunoprecipitation, Western Blot
1 mg/ml
phosphate, tris citrate with 0.09% sodium azide; pH 7-8
Q13043, Q9JI10, Q13188, Q9JI11
STK3, STK4
C-terminus
100 μL
Primary
Human, Mouse
Antibody
IgG
Product Suggestions

Product Suggestions

Videos
SDS
Documents

Documents

Product Certifications
Promotions

Promotions

Product Content Correction

The Fisher Scientific Encompass Program offers items which are not part of our distribution portfolio. These products typically do not have pictures or detailed descriptions. However, we are committed to improving your shopping experience. Please use the form below to provide feedback related to the content on this product.

Product Title

By clicking Submit, you acknowledge that you may be contacted by Fisher Scientific in regards to the feedback you have provided in this form. We will not share your information for any other purposes. All contact information provided shall also be maintained in accordance with our Privacy Policy.

Your feedback has been submitted: Thank you for helping us improve our website.