Promotional price valid on web orders only. Your contract pricing may differ. Interested in signing up for a dedicated account number?
Learn More
Learn More
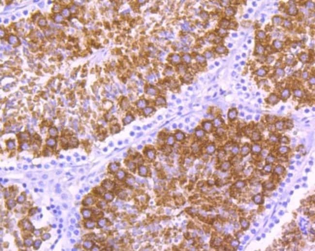
MSY2 Mouse anti-Human, Mouse, Rat, Clone: A2-B9-G6, Novus Biologicals™

Mouse Monoclonal Antibody
Supplier: Novus Biologicals NBP275575
Description
MSY2 Monoclonal specifically detects MSY2 in Human, Mouse, Rat samples. It is validated for Western Blot, Immunohistochemistry, Immunohistochemistry-Paraffin.Specifications
| MSY2 | |
| Monoclonal | |
| 2 mg/mL | |
| Western Blot 1:100-1:2000, Immunohistochemistry 1:10 - 1:500, Immunohistochemistry-Paraffin | |
| Contrin, CSDA3MGC45104, DBPC, DNA-binding protein C, Germ cell-specific Y-box-binding protein, MSY2 homolog, MSY2germ cell specific Y-box binding protein, Y box binding protein 2, Y-box-binding protein 2 | |
| Mouse | |
| 38.5 kDa | |
| 100 μL | |
| 51087.0 | |
| Store at 4°C short term. Aliquot and store at -20°C long term. Avoid freeze-thaw cycles. | |
| IgG1 |
| Western Blot, Immunohistochemistry, Immunohistochemistry (Paraffin) | |
| A2-B9-G6 | |
| Unconjugated | |
| PBS (pH7.4), 0.2% BSA, 50% Glycerol with 0.05% Sodium Azide | |
| YBX2 | |
| Synthetic peptide within Human MSY2 aa 295-344/ 364. (SwissProt: Q9Y2T7 Human; SwissProt: P62960 Mouse; SwissProt: P62961 Rat) | |
| Protein G purified | |
| Primary | |
| Human, Mouse, Rat | |
| Purified |
Product Content Correction
Your input is important to us. Please complete this form to provide feedback related to the content on this product.
Product Title
Spot an opportunity for improvement?Share a Content Correction