Promotional price valid on web orders only. Your contract pricing may differ. Interested in signing up for a dedicated account number?
Learn More
Learn More
Invitrogen™ MT2A Polyclonal Antibody

Rabbit Polyclonal Antibody
Supplier: Invitrogen™ PA5120694
This item is not returnable.
View return policy
Description
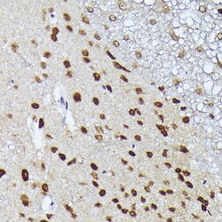
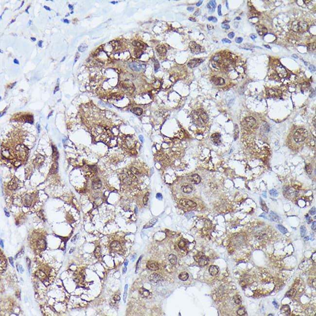
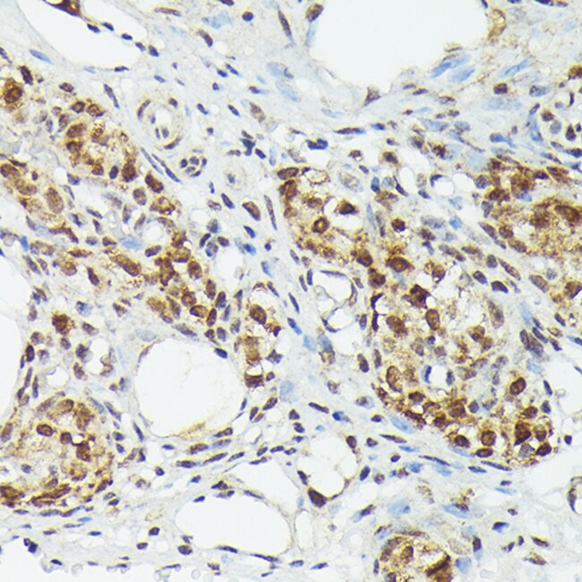
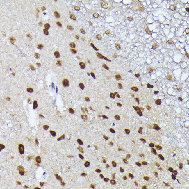
Positive test controls include: 293T, Jurkat, Rat testis. Immunogen sequence: MDPNCSCAAG DSCTCAGSCK CKECKCTSCK KSCCSCCPVG CAKCAQGCIC KGASDKCSCC A.
Metallothionein (MT) is a sulfhydryl- and cysteine-rich protein found in microorganisms, plants and all invertebrate and vertebrate animals. Metallothioneins are a group of ubiquitous low-molecular-weight proteins that have functional roles in cell growth, repair and differentiation. They are implicated primarily in metal ion detoxification, in that they are essential for the protection of cells against the toxicity of cadmium, mercury and copper. Metallothionein, as an acute phase or stress-response protein and free radical scavenger, is related to inflammation and cellular protection from reactive forms of oxygen, ionizing radiation, pharmacological agents and mutagens. Metallothioneins are known to be broadly expressed in heart, liver, kidney, breast and testis tissue.
Specifications
| MT2A | |
| Polyclonal | |
| Unconjugated | |
| MT2A | |
| CES1; Metallothionein; Metallothionein 2; metallothionein 2A; metallothionein-2; Metallothionein-2A; metallothionein-II; Mt2; MT-2; MT2A; MT-II | |
| Rabbit | |
| Affinity Chromatography | |
| RUO | |
| 4502, 689415 | |
| -20°C, Avoid Freeze/Thaw Cycles | |
| Liquid |
| ELISA, Immunohistochemistry (Paraffin), Western Blot | |
| 1.74 mg/mL | |
| PBS with 50% glycerol and 0.09% sodium azide; pH 7.3 | |
| P02795, P04355 | |
| MT2A | |
| Recombinant fusion protein containing a sequence corresponding to amino acids 1-61 of human MT2A (NP_005944.1). | |
| 100 μL | |
| Primary | |
| Human, Mouse, Rat | |
| Antibody | |
| IgG |
Product Content Correction
Your input is important to us. Please complete this form to provide feedback related to the content on this product.
Product Title
Spot an opportunity for improvement?Share a Content Correction