Promotional price valid on web orders only. Your contract pricing may differ. Interested in signing up for a dedicated account number?
Learn More
Learn More
Invitrogen™ MTAP Polyclonal Antibody

Rabbit Polyclonal Antibody
Supplier: Invitrogen™ PA522000
Description
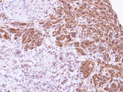
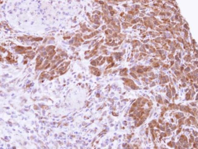
Recommended positive controls: A431, HeLa, HepG2, Mouse liver. Predicted reactivity: Mouse (93%), Xenopus laevis (80%), Chicken (83%), Rhesus Monkey (100%). Store product as a concentrated solution. Centrifuge briefly prior to opening the vial.
This gene encodes an enzyme that plays a major role in polyamine metabolism and is important for the salvage of both adenine and methionine. The encoded enzyme is deficient in many cancers because this gene and the tumor suppressor p16 gene are co-deleted. Multiple alternatively spliced transcript variants have been described for this gene, but their full-length natures remain unknown.
Specifications
| MTAP | |
| Polyclonal | |
| Unconjugated | |
| MTAP | |
| 1300019I21Rik; 5'-methylthioadenosine phosphorylase; BDMF; c86fus; Cc1-6; DMSFH; DMSMFH; epididymis luminal protein 249; HEL-249; LGMBF; MeSAdo phosphorylase; methylthioadenosine phosphorylase; MSAP; MTA phosphorylase; MTAP; MTAPase; S-methyl-5'-thioadenosine phosphorylase; zgc:66012 | |
| Rabbit | |
| Antigen affinity chromatography | |
| RUO | |
| 4507, 66902 | |
| Store at 4°C short term. For long term storage, store at -20°C, avoiding freeze/thaw cycles. | |
| Liquid |
| Immunohistochemistry (Paraffin), Immunoprecipitation, Western Blot, Immunocytochemistry | |
| 0.18 mg/mL | |
| PBS with 1% BSA, 20% glycerol and 0.025% ProClin 300; pH 7 | |
| Q13126, Q9CQ65 | |
| MTAP | |
| Full length human MTAP Recombinant protein. | |
| 100 μL | |
| Primary | |
| Human, Mouse | |
| Antibody | |
| IgG |
Safety and Handling
WARNING: Cancer - www.P65Warnings.ca.gov
Product Content Correction
Your input is important to us. Please complete this form to provide feedback related to the content on this product.
Product Title
Spot an opportunity for improvement?Share a Content Correction