Promotional price valid on web orders only. Your contract pricing may differ. Interested in signing up for a dedicated account number?
Learn More
Learn More
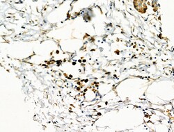
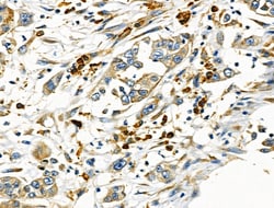
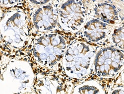
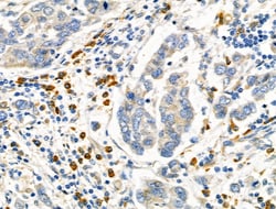
MTAP Polyclonal Antibody

MTAP Polyclonal Antibody
Supplier: Thermo Scientific PA5106861
Description
MTAP Polyclonal Antibody for Western Blot, ICC/IF, IHC (P)
Specifications
| MTAP | |
| Polyclonal | |
| Unconjugated | |
| MTAP | |
| 1300019I21Rik; 5'-methylthioadenosine phosphorylase; BDMF; c86fus; Cc1-6; DMSFH; DMSMFH; epididymis luminal protein 249; HEL-249; LGMBF; MeSAdo phosphorylase; methylthioadenosine phosphorylase; MSAP; MTA phosphorylase; MTAP; MTAPase; S-methyl-5'-thioadenosine phosphorylase; zgc:66012 | |
| Rabbit | |
| Affinity Chromatography | |
| RUO | |
| 298227, 4507, 66902 | |
| -20°C | |
| Liquid |
| Immunohistochemistry (Paraffin), Western Blot, Immunocytochemistry | |
| 1 mg/mL | |
| PBS with 50% glycerol and 0.02% sodium azide; pH 7.4 | |
| Q13126, Q9CQ65 | |
| MTAP | |
| A synthesized peptide derived from human MTAP(Accession Q13126), corresponding to amino acid residues L204-T254. | |
| 100 μL | |
| Primary | |
| Human, Mouse, Rat | |
| Antibody | |
| IgG |
Safety and Handling
WARNING: Cancer - www.P65Warnings.ca.gov
Product Content Correction
Your input is important to us. Please complete this form to provide feedback related to the content on this product.
Product Title
Spot an opportunity for improvement?Share a Content Correction