Promotional price valid on web orders only. Your contract pricing may differ. Interested in signing up for a dedicated account number?
Learn More
Learn More
Invitrogen™ MTRR Polyclonal Antibody

Rabbit Polyclonal Antibody
Supplier: Invitrogen™ PA5118094
This item is not returnable.
View return policy
Description
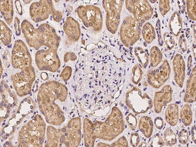
MTRR Polyclonal Antibody for Western Blot, ICC/IF, IHC (P), IP
Methionine is an essential amino acid required for protein synthesis and one-carbon metabolism. Its synthesis is catalyzed by the enzyme methionine synthase. Methionine synthase eventually becomes inactive due to the oxidation of its cob(I)alamin cofactor. The protein encoded by this gene regenerates a functional methionine synthase via reductive methylation. It is a member of the ferredoxin-NADP(+) reductase (FNR) family of electron transferases. Patients of the cbl-E complementation group of disorders of folate/cobalamin metabolism are defective in reductive activation of methionine synthase. Alternative splicing of this gene results in multiple transcript variants encoding distinct isoforms.
Specifications
| MTRR | |
| Polyclonal | |
| Unconjugated | |
| MTRR | |
| [methionine synthase]-cobalamin methyltransferase (cob(II)alamin reducing); 4732420G08; 5-methyltetrahydrofolate-homocysteine methyltransferase reductase; aqCbl reductase; aquacobalamin reductase; cblE; Methionine synthase reductase; methionine synthase reductase, mitochondrial; MGC129643; MSR; Mtrr | |
| Rabbit | |
| Antigen affinity chromatography, Protein A | |
| RUO | |
| 4552 | |
| -20°C, Avoid Freeze/Thaw Cycles | |
| Liquid |
| Immunohistochemistry (Paraffin), Immunoprecipitation, Western Blot, Immunocytochemistry | |
| 1 mg/mL | |
| PBS with 0.03% ProClin 300; pH 7 | |
| Q9UBK8 | |
| MTRR | |
| E. coli-derived Human MTRR fragment. | |
| 100 μL | |
| Primary | |
| Human | |
| Antibody | |
| IgG |
Safety and Handling
WARNING: Cancer - www.P65Warnings.ca.gov
Product Content Correction
Your input is important to us. Please complete this form to provide feedback related to the content on this product.
Product Title
Spot an opportunity for improvement?Share a Content Correction