Promotional price valid on web orders only. Your contract pricing may differ. Interested in signing up for a dedicated account number?
Learn More
Learn More
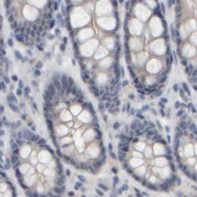
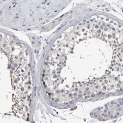
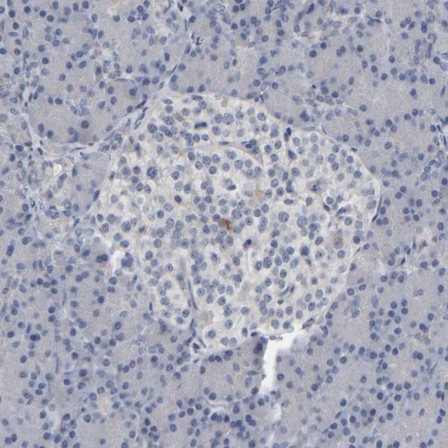
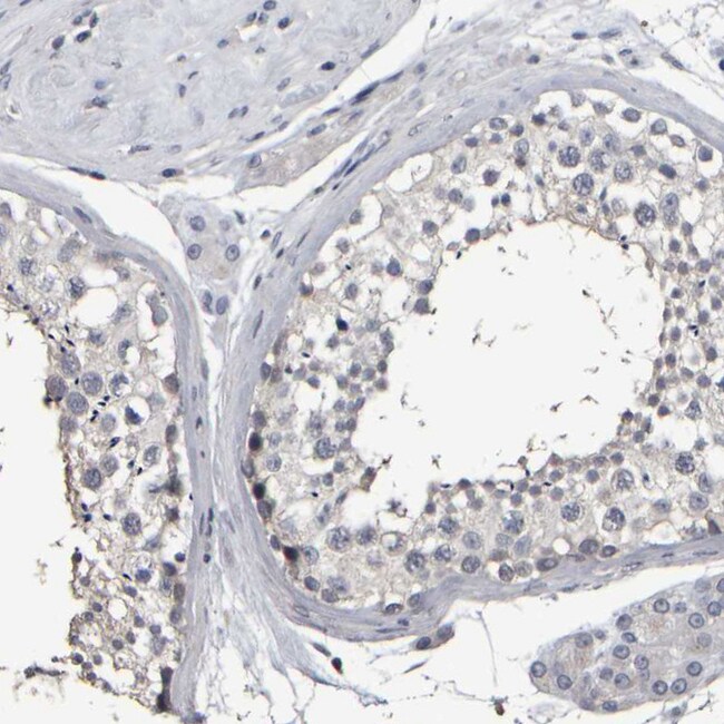
Invitrogen™ MURC Polyclonal Antibody

Rabbit Polyclonal Antibody
Supplier: Invitrogen™ PA554289
Description
Immunogen sequence: KGKDRTVAEG EECAREMGVD IIARSESLGP ISELYSDELS EPEHEAARPV YPPHEGREIP TPEPLKVTFK SQVKVEDDES LLL Highest antigen sequence identity to the following orthologs: Mouse - 64%, Rat - 59%.
MURC induces RHOA activation and activates NPPA transcription and myofibrillar organization through the Rho/ROCK signaling pathway.
Specifications
MURC | |
Polyclonal | |
Unconjugated | |
CAVIN4 | |
2310039E09Rik; Caveolae-associated protein 4; cavin 4; CAVIN4; cavin-4; Murc; muscle related coiled-coil protein; muscle-related coiled-coil protein; Muscle-restricted coiled-coil protein | |
Rabbit | |
Antigen affinity chromatography | |
RUO | |
347273 | |
Store at 4°C short term. For long term storage, store at -20°C, avoiding freeze/thaw cycles. | |
Liquid |
Immunohistochemistry (Paraffin), Western Blot, Immunocytochemistry | |
0.3 mg/mL | |
PBS with 40% glycerol and 0.02% sodium azide; pH 7.2 | |
Q5BKX8 | |
CAVIN4 | |
Recombinant protein corresponding to Human MURC. Recombinant protein control fragment (Product #RP-93059). | |
100 μL | |
Primary | |
Human | |
Antibody | |
IgG |
Product Content Correction
Your input is important to us. Please complete this form to provide feedback related to the content on this product.
Product Title
Spot an opportunity for improvement?Share a Content Correction