Promotional price valid on web orders only. Your contract pricing may differ. Interested in signing up for a dedicated account number?
Learn More
Learn More
Invitrogen™ MVD Polyclonal Antibody

Rabbit Polyclonal Antibody
Supplier: Invitrogen™ PA522169
Description
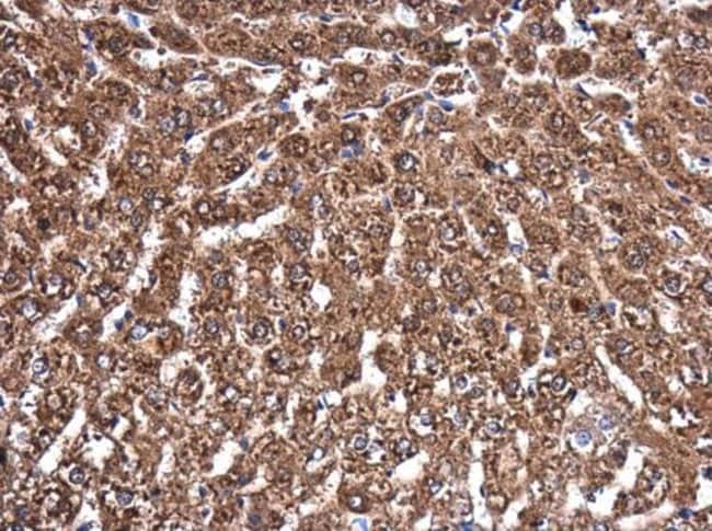
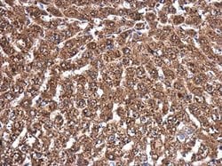
Recommended positive controls: A431, H1299, HepG2, Molt-4, Raji. Predicted reactivity: Mouse (90%), Rat (91%), Rhesus Monkey (96%), Bovine (87%). Store product as a concentrated solution. Centrifuge briefly prior to opening the vial.
The enzyme mevalonate pyrophosphate decarboxylase catalyzes the conversion of mevalonate pyrophosphate into isopentenyl pyrophosphate in one of the early steps in cholesterol biosynthesis. It decarboxylates and dehydrates its substrate while hydrolyzing ATP.
Specifications
| MVD | |
| Polyclonal | |
| Unconjugated | |
| Mvd | |
| C78718; diphosphomevalonate decarboxylase; FP17780; MDDase; mevalonate (diphospho) decarboxylase; Mevalonate (diphospho)decarboxylase; mevalonate diphosphate decarboxylase; mevalonate pyrophosphate decarboxylase; Mpd; MVD; Mvpd; POROK7 | |
| Rabbit | |
| Antigen affinity chromatography | |
| RUO | |
| 4597, 81726 | |
| Store at 4°C short term. For long term storage, store at -20°C, avoiding freeze/thaw cycles. | |
| Liquid |
| Immunohistochemistry (Paraffin), Western Blot | |
| 1 mg/mL | |
| 0.1M tris glycine with 10% glycerol and 0.01% thimerosal; pH 7 | |
| P53602, Q62967 | |
| Mvd | |
| Recombinant protein encompassing a sequence within the center region of human MVD. The exact sequence is proprietary. | |
| 100 μL | |
| Primary | |
| Human, Rat | |
| Antibody | |
| IgG |
Product Content Correction
Your input is important to us. Please complete this form to provide feedback related to the content on this product.
Product Title
Spot an opportunity for improvement?Share a Content Correction