Promotional price valid on web orders only. Your contract pricing may differ. Interested in signing up for a dedicated account number?
Learn More
Learn More
MVP/LRP Rabbit anti-Human, Mouse, Rat, Polyclonal, Proteintech

Rabbit Polyclonal Antibody
Supplier: Proteintech Group Inc 164781AP150UL

Description
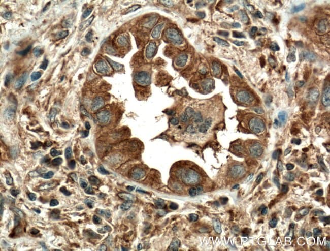
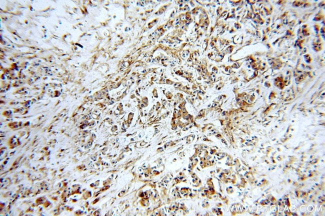
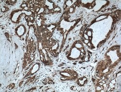
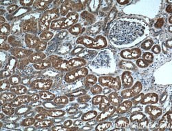
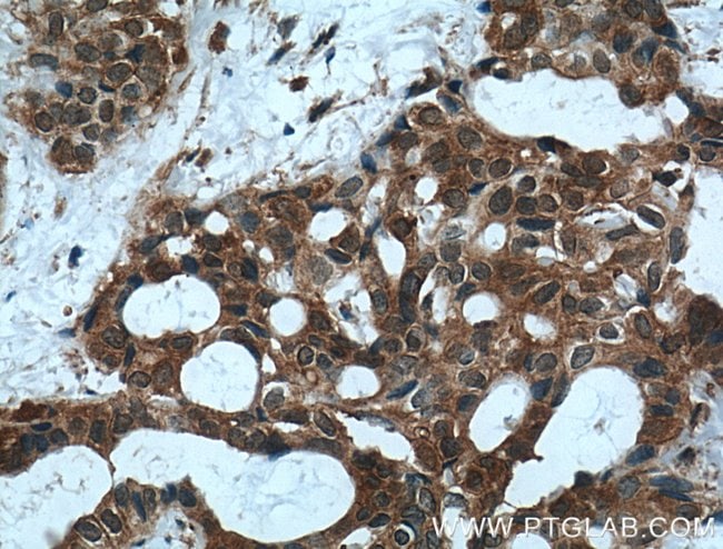
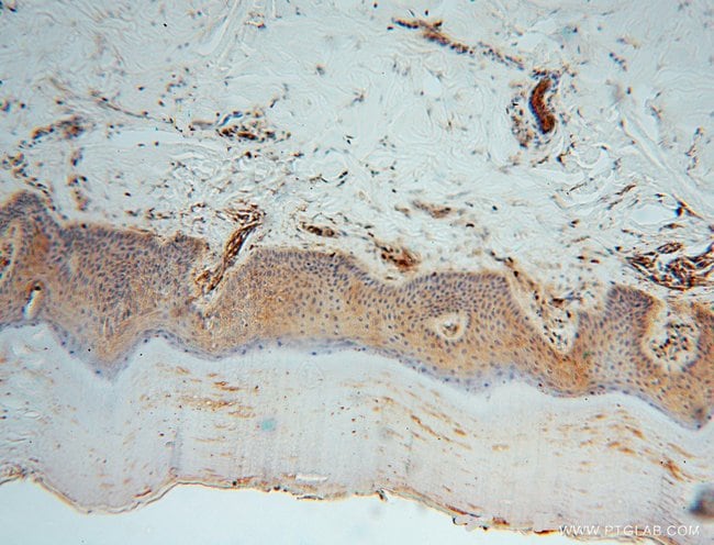
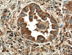
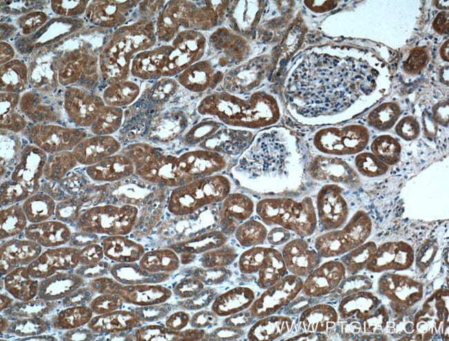
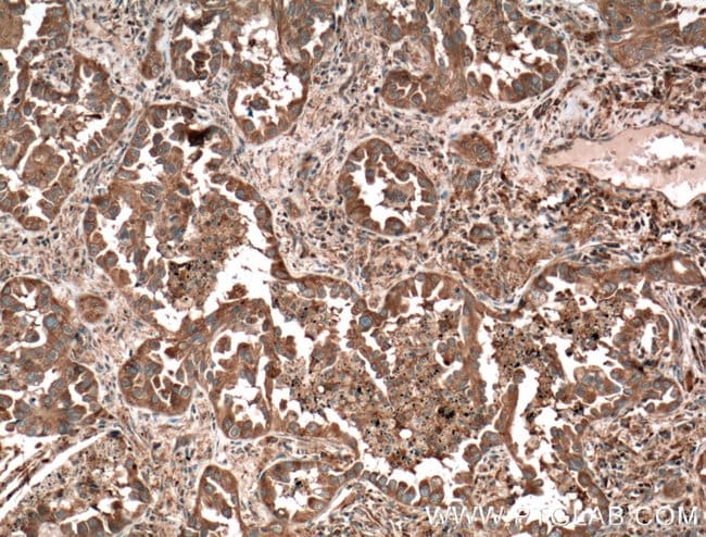
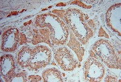
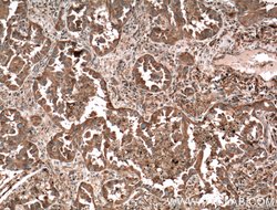
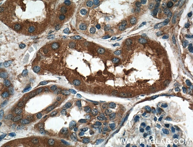
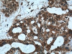
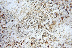
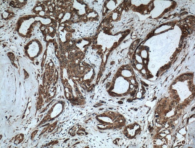
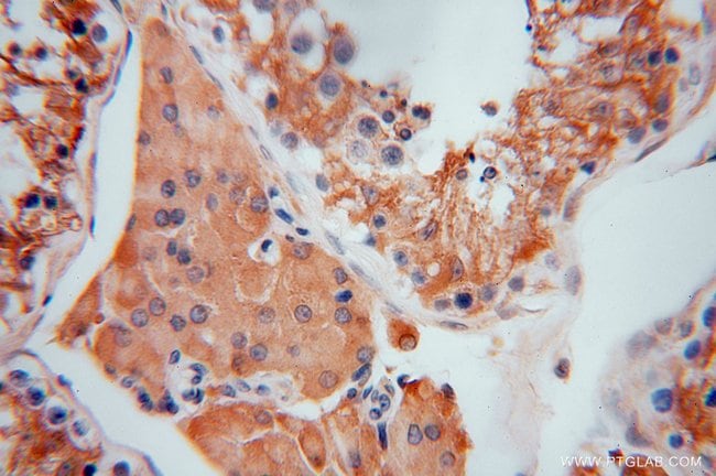
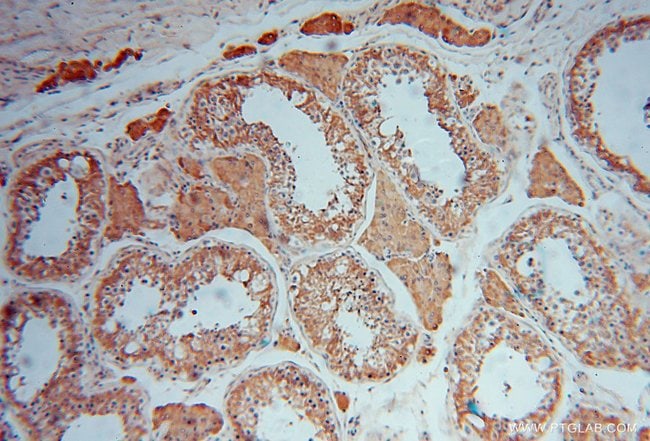
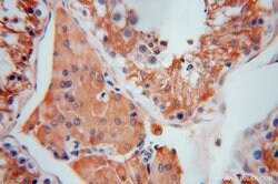
This gene encodes the major vault protein which is a lung resistance-related protein. Vaults are multi-subunit structures that may be involved in nucleo-cytoplasmic transport. This protein mediates drug resistance, perhaps via a transport process. It is widely distributed in normal tissues, and overexpressed in multidrug-resistant cancer cells. The protein overexpression is a potentially useful marker of clinical drug resistance. This gene produces two transcripts by using two alternative exon 2 sequences; however, the open reading frames are the same in both transcripts.Specifications
MVP/LRP | |
Polyclonal | |
Unconjugated | |
MVP | |
LRP, major vault protein, MVP, VAULT1 | |
Rabbit | |
Antigen Affinity Chromatography | |
RUO | |
64681, 78388, 9961 | |
-20°C | |
Liquid |
Immunocytochemistry, Immunofluorescence, Immunohistochemistry (Paraffin), Immunoprecipitation, Western Blot | |
0.27 mg/mL | |
PBS with 50% glycerol and 0.02% sodium azide; pH 7.3 | |
Q14764, Q62667, Q9EQK5 | |
Mvp | |
MVP/LRP Fusion Protein Ag9593 | |
150 μL | |
Primary | |
Human, Mouse, Rat | |
Antibody | |
IgG |
Product Content Correction
The Fisher Scientific Encompass Program offers items which are not part of our distribution portfolio. These products typically do not have pictures or detailed descriptions. However, we are committed to improving your shopping experience. Please use the form below to provide feedback related to the content on this product.
Product Title
Spot an opportunity for improvement?Share a Content Correction