Learn More
Invitrogen™ MVP Polyclonal Antibody

Description
Immunogen sequence: KVSHQAGDHW LIRGPLEYVP SAKVEVVEER QAIPLDENEG IYVQDVKTGK VRAVIGSTYM LTQDEVLWEK ELPPGVEELL NKGQDPLAD Highest antigen sequence indentity to the following orthologs: Rat - 94%, Mouse - 93%.
Specifications
Specifications
| Antigen | MVP |
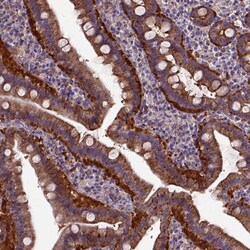
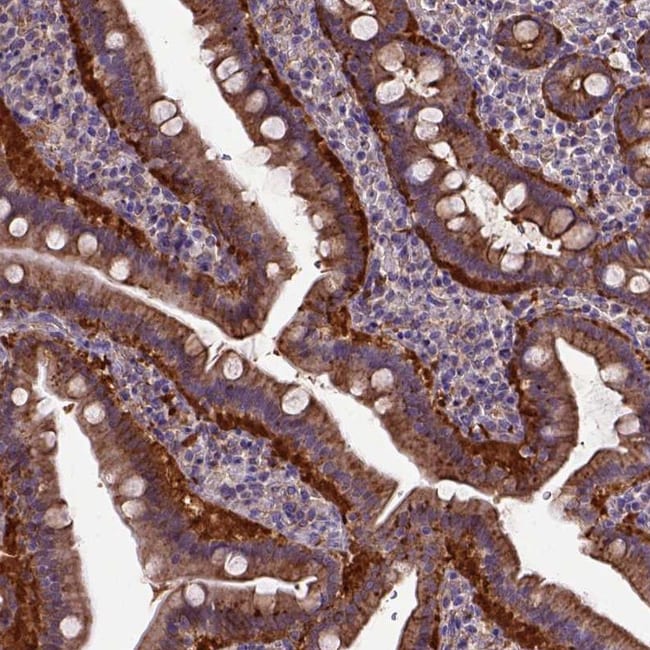
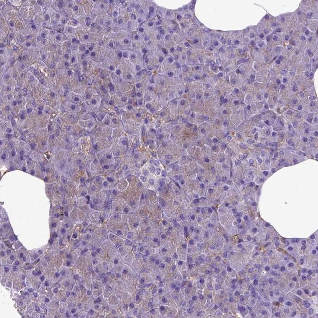
| Applications | Immunohistochemistry (Paraffin), Western Blot |
| Classification | Polyclonal |
| Concentration | 0.2 mg/mL |
| Conjugate | Unconjugated |
| Formulation | PBS with 40% glycerol and 0.02% sodium azide; pH 7.2 |
| Gene | MVP |
| Gene Accession No. | Q14764 |
| Gene Alias | 2310009M24Rik; LRP; Lung resistance-related protein; major vault protein; MVP; MVP1; Testicular Secretory Protein Li 30; VAULT1; vRNP |
| Gene Symbols | MVP |
| Show More |
Safety and Handling
By clicking Submit, you acknowledge that you may be contacted by Fisher Scientific in regards to the feedback you have provided in this form. We will not share your information for any other purposes. All contact information provided shall also be maintained in accordance with our Privacy Policy.