Promotional price valid on web orders only. Your contract pricing may differ. Interested in signing up for a dedicated account number?
Learn More
Learn More
Invitrogen™ MX1 Polyclonal Antibody
Rabbit Polyclonal Antibody
Supplier: Invitrogen™ PA5119298
This item is not returnable.
View return policy
Description
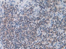
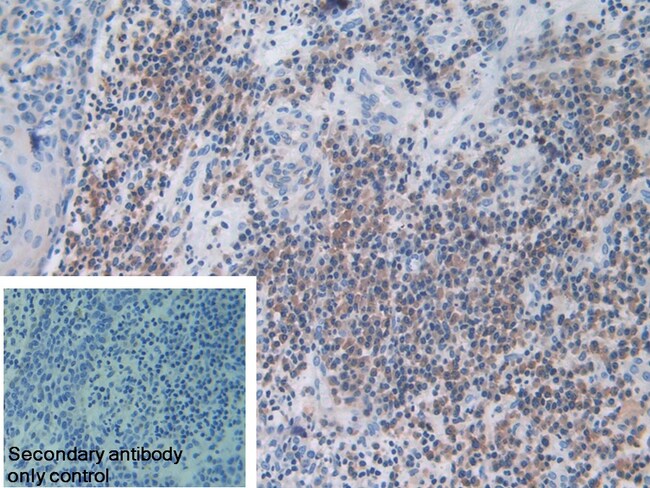
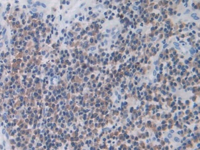
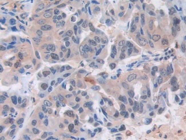
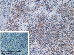
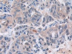
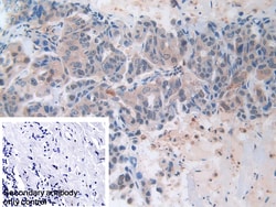
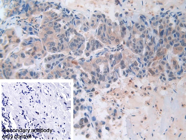
MX1 Polyclonal Antibody for Western Blot, IHC (P)
This gene encodes a guanosine triphosphate (GTP)-metabolizing protein that participates in the cellular antiviral response. The encoded protein is induced by type I and type II interferons and antagonizes the replication process of several different RNA and DNA viruses. There is a related gene located adjacent to this gene on chromosome 21, and there are multiple pseudogenes located in a cluster on chromosome 4. Alternative splicing results in multiple transcript variants.
Specifications
MX1 | |
Polyclonal | |
Unconjugated | |
Mx1 | |
AI893580; GTP-binding protein; IFI78; IFI-78K; Influenza resistance protein; Interferon-induced GTP-binding protein Mx1; Interferon-induced GTP-binding protein Mx1, N-terminally processed; Interferon-induced protein p78; interferon-inducible myxovirus resistance-1 protein; interferon-inducible protein p78; interferon-regulated resistance GTP-binding protein MxA; Mx; MX dynamin like GTPase 1; MX dynamin-like GTPase 1; Mx1; Mx-1; Mx1B; Mx1-b; MxA; Myxoma resistance protein 1; myxovirus (influenza virus) resistance 1; myxovirus (influenza virus) resistance 1, interferon-inducible protein p78; myxovirus (influenza) resistance 1 polypeptide; myxovirus resistance protein 1 | |
Rabbit | |
Antigen affinity chromatography, Protein A | |
RUO | |
17857, 4599 | |
Store at 4°C short term. For long term storage, store at -20°C, avoiding freeze/thaw cycles. | |
Liquid |
Immunohistochemistry (Paraffin), Western Blot | |
1 mg/mL | |
PBS with 50% glycerol and 0.05% ProClin 300; pH 7.4 | |
P09922, P20591 | |
Mx1 | |
Recombinant protein Myxovirus Resistance 1. The antigen corresponds to amino acid range 80-342 of the target protein. | |
200 μL | |
Primary | |
Human, Mouse | |
Antibody | |
IgG |
Safety and Handling
WARNING: Cancer - www.P65Warnings.ca.gov
Product Content Correction
Your input is important to us. Please complete this form to provide feedback related to the content on this product.
Product Title
Spot an opportunity for improvement?Share a Content Correction