Promotional price valid on web orders only. Your contract pricing may differ. Interested in signing up for a dedicated account number?
Learn More
Learn More
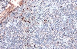
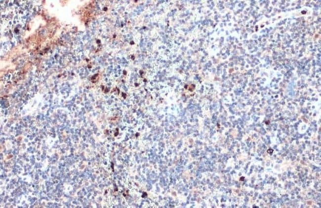
Invitrogen™ Myeloperoxidase Polyclonal Antibody

Rabbit Polyclonal Antibody
Supplier: Invitrogen™ PA5119583
This item is not returnable.
View return policy
Description
Store as concentrated solution. Centrifuge briefly prior to opening vial. For short-term storage (1-2 weeks), store at 4°C. For long-term storage, aliquot and store at -20°C or below. Avoid multiple freeze-thaw cycles.
Myeloperoxidase (MPO) is a heme protein that is synthesized during myeloid differentiation and is a major component of neutrophil azurophilic granules. It is produced as a single chain precursor and subsequently cleaved into a light and heavy chain. The mature MPO is a tetramer composed of 2 light chains and 2 heavy chains. This enzyme is responsible for producing hypohalous acids that are central to the microbicidal activity of neutrophils. Diseases that are associated with MPO include Myeloperoxidase Deficiency and Alzheimer's Disease, Familial, 1.
Specifications
| Myeloperoxidase | |
| Polyclonal | |
| Unconjugated | |
| MPO | |
| 84 kDa myeloperoxidase; 89 kDa myeloperoxidase; mKIAA4033; MPO; Myeloperoxidase; Myeloperoxidase heavy chain; Myeloperoxidase light chain | |
| Rabbit | |
| Antigen affinity chromatography | |
| RUO | |
| 4353 | |
| Store at 4°C short term. For long term storage, store at -20°C, avoiding freeze/thaw cycles. | |
| Liquid |
| Immunohistochemistry (Paraffin), Western Blot, Immunocytochemistry | |
| 1.25 mg/mL | |
| PBS with 20% glycerol and 0.025% ProClin 300; pH 7 | |
| P05164 | |
| MPO | |
| Carrier-protein conjugated synthetic peptide encompassing a sequence within the center region of human Myeloperoxidase. The exact sequence is proprietary. | |
| 100 μL | |
| Primary | |
| Human | |
| Antibody | |
| IgG |
Product Content Correction
Your input is important to us. Please complete this form to provide feedback related to the content on this product.
Product Title
Spot an opportunity for improvement?Share a Content Correction