Promotional price valid on web orders only. Your contract pricing may differ. Interested in signing up for a dedicated account number?
Learn More
Learn More
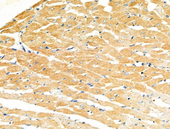
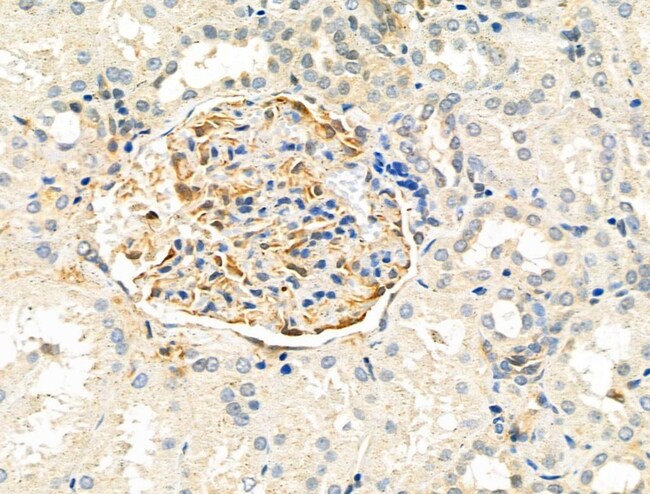
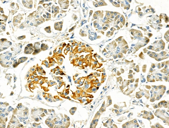
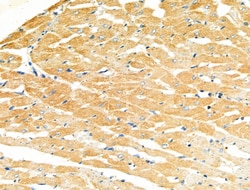
Invitrogen™ MYL3 Polyclonal Antibody

Rabbit Polyclonal Antibody
Supplier: Invitrogen™ PA5106802
Description
Antibody detects endogenous levels of total MYL3.
MYL3 encodes myosin light chain 3, an alkali light chain also referred to in the literature as both the ventricular isoform and the slow skeletal muscle isoform. Mutations in MYL3 have been identified as a cause of mid-left ventricular chamber type hypertrophic cardiomyopathy.
Specifications
| MYL3 | |
| Polyclonal | |
| Unconjugated | |
| MYL3 | |
| Cardiac myosin light chain 1; CMH8; CMLC1; MLC1s; MLC1SB; Mlc1v; MLClV; MLC-lV/sb; MYL3; Mylc; Mylc1v; Myosin alkali light chain 1, ventricular; Myosin alkali light chain 1, ventricular/slow skeletal muscle isoform; Myosin light chain 1, slow-twitch muscle B/ventricular isoform; myosin light chain 3; Myosin light chain 3, alkali, cardiac ventricles; myosin light chain, alkali, cardiac ventricles; myosin, light chain 3, alkali; ventricular, skeletal, slow; myosin, light polypeptide 3; myosin, light polypeptide 3, alkali; ventricular, skeletal, slow; rVMLC1; slow skeletal; slow skeletal ventricular myosin alkali light chain 3; ventricular; ventricular myosin alkali light chain; Ventricular myosin light chain 1; ventricular, skeletal, slow; ventricular/slow twitch myosin alkali light chain; VLC1; VLCl | |
| Rabbit | |
| Affinity Chromatography | |
| RUO | |
| 17897, 24585, 4634 | |
| -20°C | |
| Liquid |
| Immunohistochemistry (Paraffin), Western Blot, Immunocytochemistry | |
| 1 mg/mL | |
| PBS with 50% glycerol and 0.02% sodium azide; pH 7.4 | |
| P08590, P09542, P16409 | |
| MYL3 | |
| A synthesized peptide derived from human MYL3(Accession P08590), corresponding to amino acid residues D78-G128. | |
| 100 μL | |
| Primary | |
| Human, Mouse, Rat | |
| Antibody | |
| IgG |
Safety and Handling
WARNING: Cancer - www.P65Warnings.ca.gov
Product Content Correction
Your input is important to us. Please complete this form to provide feedback related to the content on this product.
Product Title
Spot an opportunity for improvement?Share a Content Correction