Promotional price valid on web orders only. Your contract pricing may differ. Interested in signing up for a dedicated account number?
Learn More
Learn More
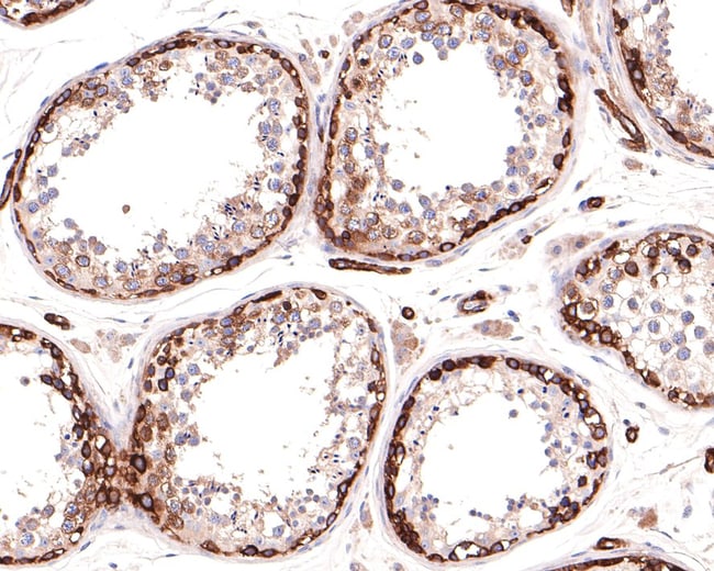
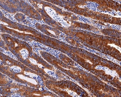
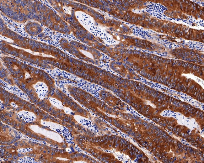
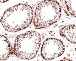
Invitrogen™ MYO1B Recombinant Rabbit Monoclonal Antibody (JE65-01)
Rabbit Recombinant Monoclonal Antibody
Supplier: Invitrogen™ MA544689
This item is not returnable.
View return policy
Description
MYO1B Recombinant Monoclonal Antibody for Western Blot, IHC (P)
Motor protein that may participate in process critical to neuronal development and function such as cell migration, neurite outgrowth and vesicular transport.
Specifications
MYO1B | |
Recombinant Monoclonal | |
1 mg/mL | |
TBS with 0.05% BSA, 40% glycerol and 0.05% sodium azide; pH 7.4 | |
O43795, P46735 | |
MYO1B | |
Recombinant protein within human MYO1B aa 916-1,136/1,136. | |
100 μL | |
Primary | |
Human, Mouse | |
Antibody | |
IgG |
Immunohistochemistry (Paraffin), Western Blot | |
JE65-01 | |
Unconjugated | |
MYO1B | |
AA406997; MIH-L; MMIa; MMI-alpha; molecular motor; MYH-1c; Myo1a; MYO1B; MYO1B variant protein; myosin heavy chain myr 1; Myosin I alpha; Myosin IA (Myosin I alpha) (MMI-alpha) (MMIa) (MIH-L); myosin Ib; myosin-I alpha; myosin-Ib; myr1; Unconventional myosin-Ib | |
Rabbit | |
Protein A | |
RUO | |
17912, 4430 | |
Store at 4°C short term. For long term storage, store at -20°C, avoiding freeze/thaw cycles. | |
Liquid |
Safety and Handling
WARNING: Cancer - www.P65Warnings.ca.gov
Product Content Correction
Your input is important to us. Please complete this form to provide feedback related to the content on this product.
Product Title
Spot an opportunity for improvement?Share a Content Correction