Promotional price valid on web orders only. Your contract pricing may differ. Interested in signing up for a dedicated account number?
Learn More
Learn More
Invitrogen™ MYO1D Polyclonal Antibody
Rabbit Polyclonal Antibody
Supplier: Invitrogen™ PA5119295
This item is not returnable.
View return policy
Description
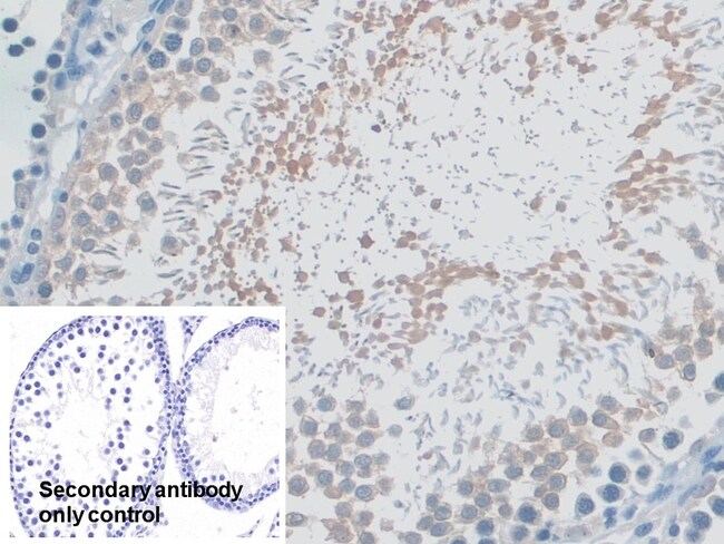
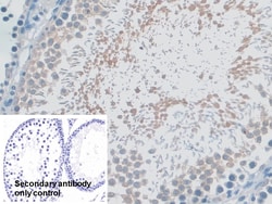
MYO1D Polyclonal Antibody for Western Blot, ICC/IF, IHC (P)
Unconventional myosin that functions as actin-based motor protein with ATPase activity. Plays a role in endosomal protein trafficking, and especially in the transfer of cargo proteins from early to recycling endosomes. Required for normal planar cell polarity in ciliated tracheal cells, for normal rotational polarity of cilia, and for coordinated, unidirectional ciliary movement in the trachea. Required for normal, polarized cilia organization in brain ependymal epithelial cells.
Specifications
MYO1D | |
Polyclonal | |
Unconjugated | |
MYO1D | |
9930104H07Rik; AW544947; D11Ertd9e; KIAA0727; Myo1c; MYO1D; myosin 1C; myosin heavy chain myr 4; myosin IC; myosin ID; myosin1C; myosin-1d; myosin-I gamma; myosin-Id; Myr2; Myr4; PPP1R108; protein phosphatase 1, regulatory subunit 108; Unconventional myosin from rat 4 for myosin I heavy chain; unconventional myosin-Id | |
Rabbit | |
Antigen affinity chromatography, Protein A | |
RUO | |
25485 | |
Store at 4°C short term. For long term storage, store at -20°C, avoiding freeze/thaw cycles. | |
Liquid |
Immunohistochemistry (Paraffin), Western Blot, Immunocytochemistry | |
0.5 mg/mL | |
PBS with 50% glycerol and 0.05% ProClin 300; pH 7.4 | |
Q63357 | |
MYO1D | |
Recombinant protein Myosin ID. The antigen corresponds to amino acid range 512-788 of the target protein. | |
200 μL | |
Primary | |
Rat | |
Antibody | |
IgG |
Safety and Handling
WARNING: Cancer - www.P65Warnings.ca.gov
Product Content Correction
Your input is important to us. Please complete this form to provide feedback related to the content on this product.
Product Title
Spot an opportunity for improvement?Share a Content Correction