Promotional price valid on web orders only. Your contract pricing may differ. Interested in signing up for a dedicated account number?
Learn More
Learn More
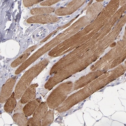
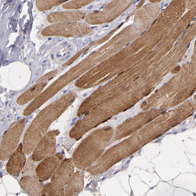
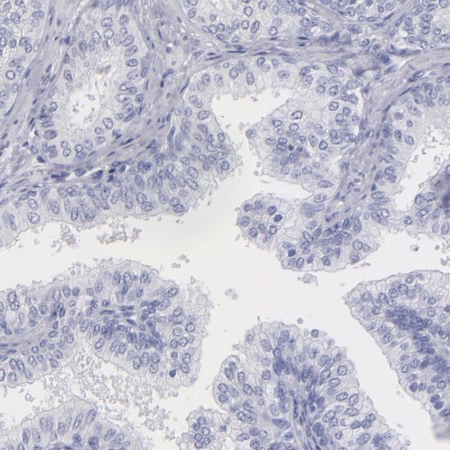
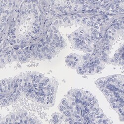
Invitrogen™ Myoglobin Polyclonal Antibody

Rabbit Polyclonal Antibody
Supplier: Invitrogen™ PA5110666
Description
Immunogen sequence: DGEWQLVLNV WGKVEADIPG HGQEVLIRLF KGHPETLEKF DKFKHLKSED EMKASEDLKK HGATVLTALG GILKKKGHHE AEIKPLAQSH ATKHKIPVKY LEFISECIIQ VLQSKHPGDF GADA.
This gene encodes a member of the globin superfamily and is expressed in skeletal and cardiac muscles. The encoded protein is a hemoprotein contributing to intracellular oxygen storage and transcellular facilitated diffusion of oxygen. At least three alternatively spliced transcript variants encoding the same protein have been reported.
Specifications
| Myoglobin | |
| Polyclonal | |
| Unconjugated | |
| MB | |
| AI325109; Human myoglobin; Mb; MGC13548; myoglobgin; myoglobin; OTTHUMP00000197936; PVALB | |
| Rabbit | |
| Antigen Affinity Chromatography | |
| RUO | |
| 4151 | |
| Store at 4°C short term. For long term storage, store at -20°C, avoiding freeze/thaw cycles. | |
| Liquid |
| Immunohistochemistry (Paraffin) | |
| 0.05 mg/mL | |
| PBS with 40% glycerol and 0.02% sodium azide; pH 7.2 | |
| P02144 | |
| MB | |
| Recombinant Protein corresonding to Human Myoglobin. Recombinant protein control fragment (Product #RP-91501). | |
| 100 μL | |
| Primary | |
| Human | |
| Antibody | |
| IgG |
Safety and Handling
WARNING: Cancer - www.P65Warnings.ca.gov
Product Content Correction
Your input is important to us. Please complete this form to provide feedback related to the content on this product.
Product Title
Spot an opportunity for improvement?Share a Content Correction