Promotional price valid on web orders only. Your contract pricing may differ. Interested in signing up for a dedicated account number?
Learn More
Learn More
Invitrogen™ MYT1L Polyclonal Antibody

Rabbit Polyclonal Antibody
Supplier: Invitrogen™ PA5119925
This item is not returnable.
View return policy
Description
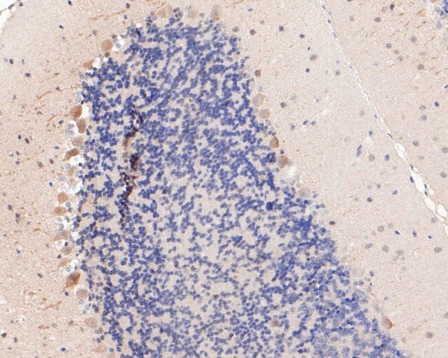
Positive Control: SHSY5Y cell lysates, mouse cerebellum tissue, mouse brain tissue, SH-SY5Y. Subcellular Location: Chromosome, Nucleus.
MYT1L, myelin transcription factor 1 family, to which the myelin transcription factor 1-like protein (MYT1L) belongs, is expressed primarily in the developing central nervous system and recruits histone deacetylase (HDAC) to regulate neural transcription. Both MYT1L and the related protein MYT1 interact with SIN3B, a protein that mediates transcriptional repression by binding to HDACs, suggesting that the MYT1 family favor the silencing of genes during neural development. Recent studies suggest that polymorphisms of MYT1L may be associated with schizophrenia.
Specifications
MYT1L | |
Polyclonal | |
Unconjugated | |
MYT1L | |
2900046C06Rik; 2900093J19Rik; C630034G21Rik; Kiaa1106; mKIAA1106; MRD39; myelin transcription factor 1 like; myelin transcription factor 1-like; myelin transcription factor 1-like protein; Myt1l; MyT1-L; Neural zinc finger factor 1; neural zinc finger protein NZF-1; neural zinc finger transcription factor 1; Nzf1; NZF-1; Nztf1; Pmng1; Png1; Png-1; postmeiotic neural gene 1; postmitotic neural gene 1 protein; ZC2H2C2; ZC2HC4B; zinc finger protein Png-1 | |
Rabbit | |
Antigen affinity chromatography | |
RUO | |
17933, 23040 | |
Store at 4°C short term. For long term storage, store at -20°C, avoiding freeze/thaw cycles. | |
Liquid |
Flow Cytometry, Immunohistochemistry (Paraffin), Western Blot | |
1 mg/mL | |
TBS with 0.2% BSA, 50% glycerol and 0.05% sodium azide; pH 7.4 | |
P97500, Q9UL68 | |
MYT1L | |
Recombinant protein within human MyT1L aa 200-400/1186. | |
100 μL | |
Primary | |
Human, Mouse | |
Antibody | |
IgG |
Product Content Correction
Your input is important to us. Please complete this form to provide feedback related to the content on this product.
Product Title
Spot an opportunity for improvement?Share a Content Correction