Promotional price valid on web orders only. Your contract pricing may differ. Interested in signing up for a dedicated account number?
Learn More
Learn More
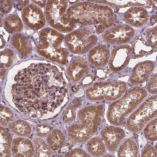
Invitrogen™ MZT1 Polyclonal Antibody

Rabbit Polyclonal Antibody
Supplier: Invitrogen™ PA564283
Description
Immunogen sequence: RILNTGLDME TLSICVRLCE QGINPE Highest antigen sequence identity to the following orthologs: Mouse - 100%, Rat - 100%.
Required for gamma-tubulin complex recruitment to the centrosome.
Specifications
MZT1 | |
Polyclonal | |
Unconjugated | |
MZT1 | |
2410129H14Rik; AI120158; C13orf37; mitotic spindle organizing protein 1; mitotic-spindle organizing protein 1; Mitotic-spindle organizing protein associated with a ring of gamma-tubulin 1; MOZART1; MZT1; si:ch211-141i4.2; si:dkey-15d12.2 | |
Rabbit | |
Antigen Affinity Chromatography | |
RUO | |
440145 | |
Store at 4°C short term. For long term storage, store at -20°C, avoiding freeze/thaw cycles. | |
Liquid |
Immunohistochemistry (Paraffin) | |
0.05 mg/mL | |
PBS with 40% glycerol and 0.02% sodium azide; pH 7.2 | |
Q08AG7 | |
MZT1 | |
Recombinant protein corresponding to Human MZT1. Recombinant protein control fragment (Product #RP-103825). | |
100 μL | |
Primary | |
Human | |
Antibody | |
IgG |
Safety and Handling
WARNING: Cancer - www.P65Warnings.ca.gov
Product Content Correction
Your input is important to us. Please complete this form to provide feedback related to the content on this product.
Product Title
Spot an opportunity for improvement?Share a Content Correction