Learn More
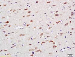
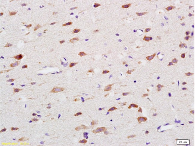
NADPH oxidase 4 Rabbit anti-Human, Polyclonal, Bioss

Description
Specifications
Specifications
| Antigen | NADPH oxidase 4 |
| Applications | Immunofluorescence, Immunohistochemistry (Paraffin), Western Blot |
| Classification | Polyclonal |
| Concentration | 1 μg/mL |
| Conjugate | Unconjugated |
| Formulation | PBS with 1% BSA, 50% glycerol and 0.09% sodium azide; pH |
| Gene | Nox4 |
| Gene Accession No. | Q9NPH5 |
| Gene Alias | AI648021; BOS_24390; Kidney oxidase-1; Kidney superoxide-producing NADPH oxidase; Kox; KOX1; KOX-1; NADPH oxidase 4; NOX4; Renal NAD(P)H-oxidase; Renox; Superoxide-generating NADPH oxidase 4 |
| Gene Symbols | Nox4 |
| Show More |
By clicking Submit, you acknowledge that you may be contacted by Fisher Scientific in regards to the feedback you have provided in this form. We will not share your information for any other purposes. All contact information provided shall also be maintained in accordance with our Privacy Policy.