Promotional price valid on web orders only. Your contract pricing may differ. Interested in signing up for a dedicated account number?
Learn More
Learn More
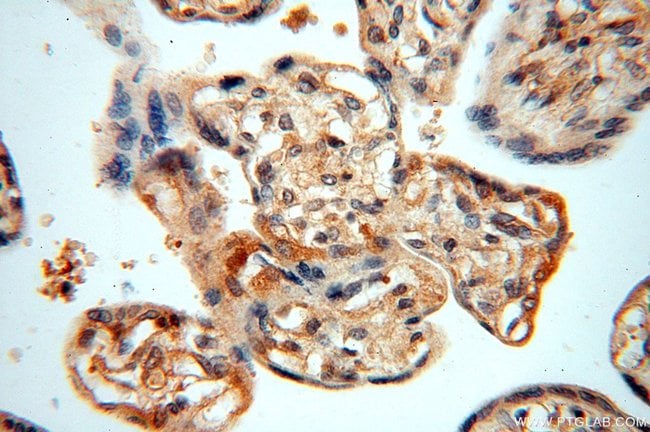
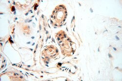
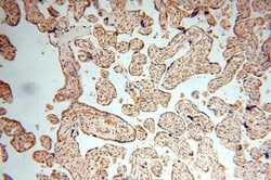
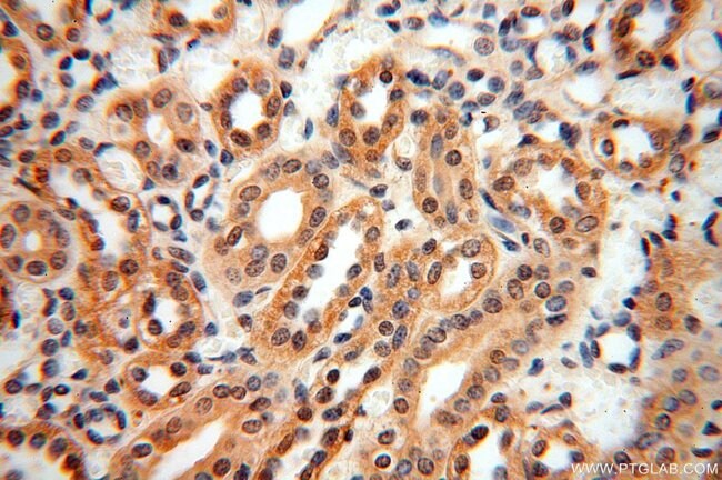
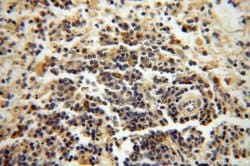
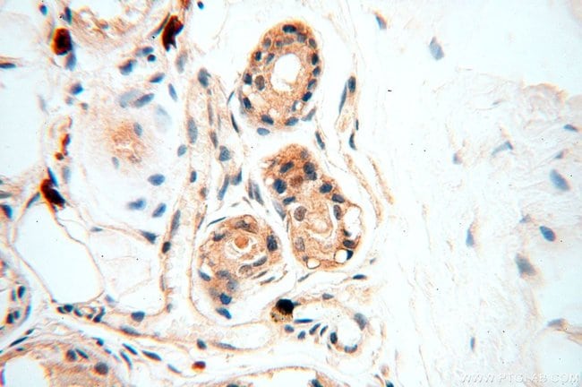
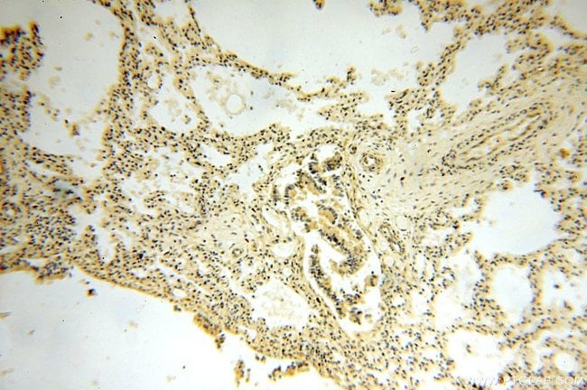
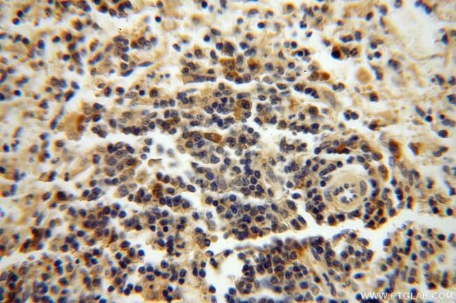
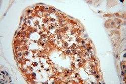
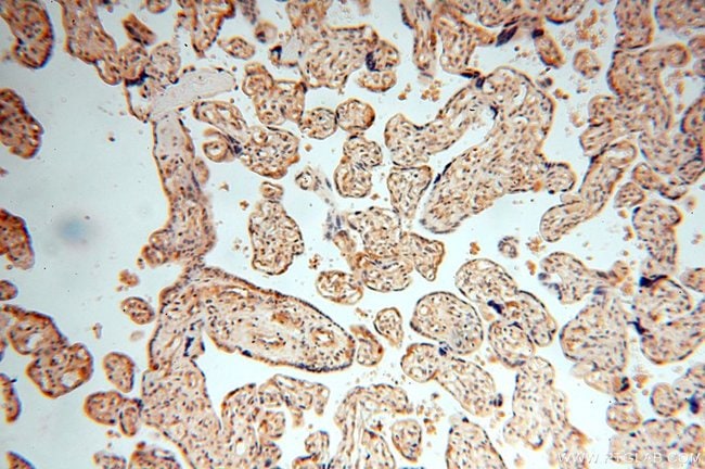
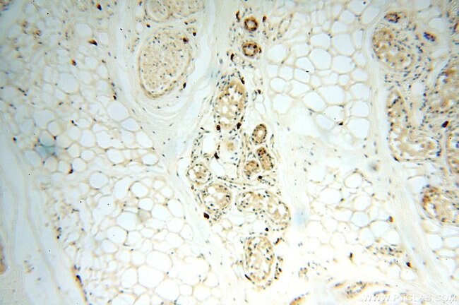
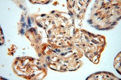
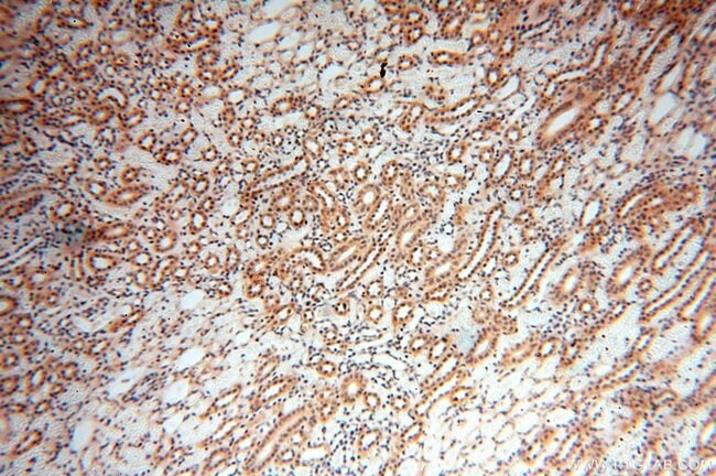
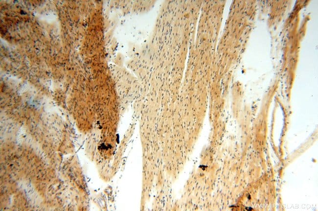
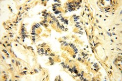
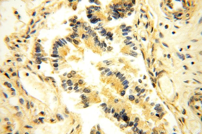
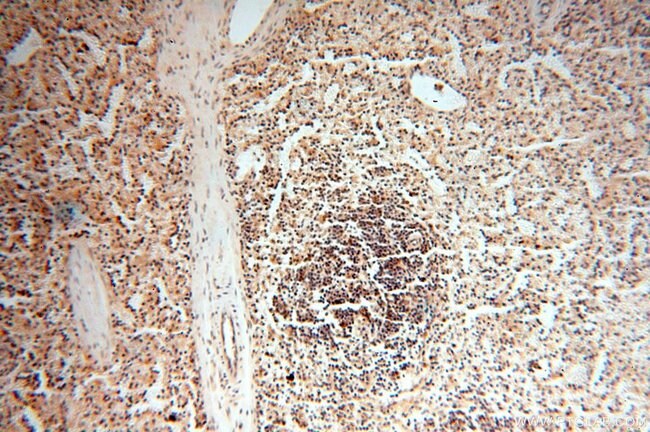
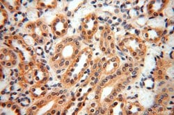
NAP1L1 Rabbit anti-Human, Mouse, Rat, Polyclonal, Proteintech

Rabbit Polyclonal Antibody
Supplier: Proteintech Group Inc 148981AP150UL

Description
NAP1L1 is a member of the nucleosome assembly protein (NAP) family. This protein participates in DNA replication and may play a role in modulating chromatin formation and contribute to the regulation of cell proliferation.Specifications
NAP1L1 | |
Polyclonal | |
Unconjugated | |
NAP1L1 | |
hNRP, NAP 1 related protein, NAP1, NAP1L, NAP1L1, NRP | |
Rabbit | |
Antigen Affinity Chromatography | |
RUO | |
4673, 53605, 89825 | |
-20°C | |
Liquid |
Flow Cytometry, Immunocytochemistry, Immunofluorescence, Immunohistochemistry (Paraffin), Immunoprecipitation | |
0.19 mg/mL | |
PBS with 50% glycerol and 0.02% sodium azide; pH 7.3 | |
P28656, P55209, Q9Z2G8 | |
Nap1l1 | |
NAP1L1 Fusion Protein Ag6690 | |
150 μL | |
Primary | |
Human, Mouse, Rat | |
Antibody | |
IgG |
Product Content Correction
The Fisher Scientific Encompass Program offers items which are not part of our distribution portfolio. These products typically do not have pictures or detailed descriptions. However, we are committed to improving your shopping experience. Please use the form below to provide feedback related to the content on this product.
Product Title
Spot an opportunity for improvement?Share a Content Correction