Promotional price valid on web orders only. Your contract pricing may differ. Interested in signing up for a dedicated account number?
Learn More
Learn More
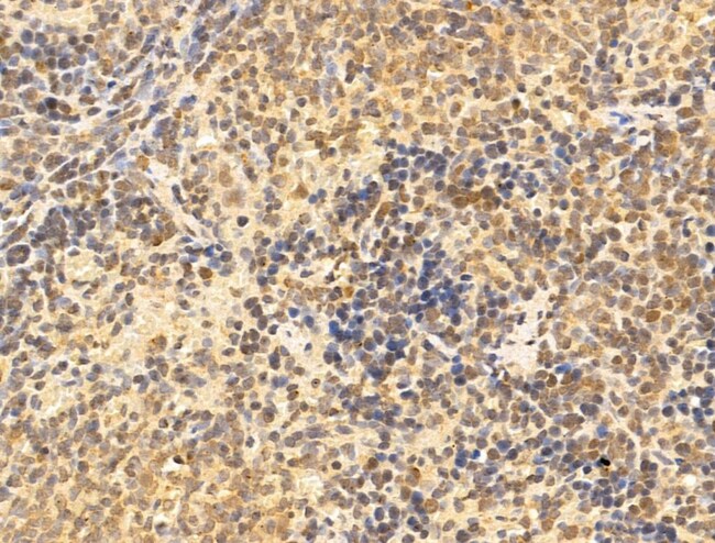
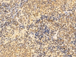
Invitrogen™ NASP Polyclonal Antibody

Rabbit Polyclonal Antibody
Supplier: Invitrogen™ PA5106317
Description
Antibody detects endogenous levels of total NASP.
NASP encodes a H1 histone binding protein that is involved in transporting histones into the nucleus of dividing cells. Multiple isoforms are encoded by transcript variants of this gene. The somatic form is expressed in all mitotic cells, is localized to the nucleus, and is coupled to the cell cycle. The testicular form is expressed in embryonic tissues, tumor cells, and the testis. In male germ cells, this protein is localized to the cytoplasm of primary spermatocytes, the nucleus of spermatids, and the periacrosomal region of mature spermatozoa.
Specifications
| NASP | |
| Polyclonal | |
| Unconjugated | |
| NASP | |
| 5033430J04Rik; AI131596; AI317140; D4Ertd767e; DKFZp547F162; EMBL:AAH81913.1}; Epcs32; FLB7527; FLJ31599; FLJ35510; histone H1-binding protein; HMDRA1; MGC19722; MGC20372; MGC2297; Nasp; nasp {ECO:0000312; NASP histone chaperone; nasp protein; Nasp-T; Nuclear autoantigenic sperm protein; nuclear autoantigenic sperm protein (histone-binding); PRO1999; somatic histone binding protein NASP; wu:fd20g12; zgc:56007; zgc:85651 | |
| Rabbit | |
| Affinity Chromatography | |
| RUO | |
| 298441, 4678, 50927 | |
| -20°C | |
| Liquid |
| Immunohistochemistry (Paraffin), Western Blot, Immunocytochemistry | |
| 1 mg/mL | |
| PBS with 50% glycerol and 0.02% sodium azide; pH 7.4 | |
| P49321, Q66HD3, Q99MD9 | |
| NASP | |
| A synthesized peptide derived from human NASP(Accession P49321), corresponding to amino acid residues S677-P727. | |
| 100 μL | |
| Primary | |
| Human, Mouse, Rat | |
| Antibody | |
| IgG |
Safety and Handling
WARNING: Cancer - www.P65Warnings.ca.gov
Product Content Correction
Your input is important to us. Please complete this form to provide feedback related to the content on this product.
Product Title
Spot an opportunity for improvement?Share a Content Correction