Learn More
NCOA2/SRC2 Rabbit anti-Human, Mouse, Polyclonal, Bethyl Laboratories
Rabbit Polyclonal Antibody
Supplier: Bethyl Laboratories, Inc A300346A

Description
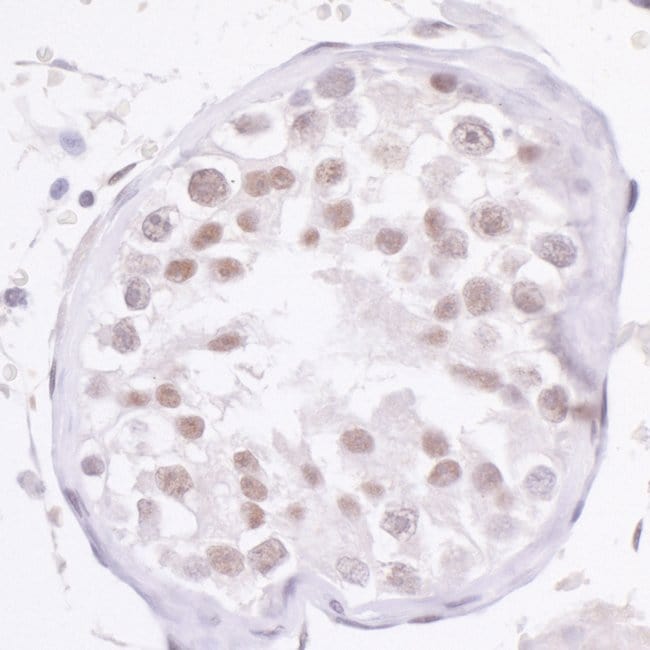
The recommended shelf life for this product is 1 year from date of receipt. Application Note: For IHC, epitope retrieval with citrate buffer pH 6.0 is recommended for FFPE tissue sections.
SRC2 (steroid receptor coactivator 2), also known as nuclear receptor coactivator2, NCOA2 or TIF2, aids in the function of nuclear hormone receptors. Nuclear hormone receptors are conditional transcription factors that play important roles in various aspects of cell growth, development, and homeostasis by controlling expression of specific genes. Members of the nuclear hormone receptor superfamily, which includes the 5 steroid receptors and class II nuclear receptors (see below), are structurally characterized by 3 distinct domains: an N-terminal transcriptional activation domain, a central DNA-binding domain, and a C-terminal hormone-binding domain. Before the binding of hormone, steroid receptors, which are sometimes called class I of the nuclear hormone receptor family, remain inactive in a complex with heat-shock protein-90 (MIM 140571) and other stress family proteins. Binding of hormone induces critical conformational changes in steroid receptors that cause them to dissociate from the inhibitory complex, bind as homodimers to specific DNA enhancer elements associated with target genes, and modulate that gene′s transcription. After binding to enhancer elements, transcription factors require transcriptional coactivator proteins to mediate their stimulation of transcription initiation (Hong et al., 1997 [PubMed 9111344]).Specifications
NCOA2/SRC2 | |
Polyclonal | |
Unconjugated | |
NCOA2 | |
Glucocorticoid Receptor Interacting Protein, Transcription Intermediary Factor 2, TIF 2 | |
Rabbit | |
Antigen affinity chromatography | |
RUO | |
10499, 17978 | |
4° C | |
Liquid |
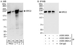
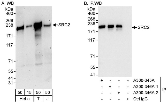
Immunohistochemistry, Immunoprecipitation, Western Blot | |
1 mg/ml | |
phosphate, tris citrate with 0.09% sodium azide; pH 7-8 | |
Q15596, Q61026 | |
NCOA2 | |
Between 1400 and C-term | |
100 μL | |
Primary | |
Human, Mouse | |
Antibody | |
IgG |
The Fisher Scientific Encompass Program offers items which are not part of our distribution portfolio. These products typically do not have pictures or detailed descriptions. However, we are committed to improving your shopping experience. Please use the form below to provide feedback related to the content on this product.