Promotional price valid on web orders only. Your contract pricing may differ. Interested in signing up for a dedicated account number?
Learn More
Learn More
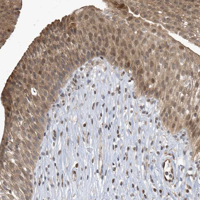
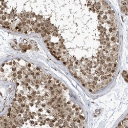
Invitrogen™ NCOA7 Polyclonal Antibody

Rabbit Polyclonal Antibody
Supplier: Invitrogen™ PA556431
Description
Immunogen sequence: EPLPVKLNSS TEANVIKEAL DSSLESTLDN SCQGAQMDNK SEVQLWLLKR IQVPIEDILP SKEEKSKTPP MFLCIKVGKP MRKSFATHTA AMVQQYGKRR Highest antigen sequence identity to the following orthologs: Mouse - 79%, Rat - 78%.
NCOA7 enhances the transcriptional activities of several nuclear receptors. It is involved in the coactivation of different nuclear receptors, such as ESR1, THRB, PPARG and RARA.
Specifications
| NCOA7 | |
| Polyclonal | |
| Unconjugated | |
| NCOA7 | |
| 140 kDa estrogen receptor-associated protein; 9030406N13Rik; dJ187J11.3; ERAP140; ESNA1; Estrogen nuclear receptor coactivator 1; estrogen receptor associated protein 140 kDa; Nbla00052; Nbla10993; Ncoa7; NCOA7-AS; Nuclear receptor coactivator 7; putative protein product of Nbla00052; putative protein product of Nbla10993; RGD1566426; TBC/LysM-associated domain containing 4; TLDC4 | |
| Rabbit | |
| Antigen affinity chromatography | |
| RUO | |
| 135112 | |
| Store at 4°C short term. For long term storage, store at -20°C, avoiding freeze/thaw cycles. | |
| Liquid |
| Immunohistochemistry (Paraffin), Western Blot, Immunocytochemistry | |
| 0.1 mg/mL | |
| PBS with 40% glycerol and 0.02% sodium azide; pH 7.2 | |
| Q8NI08 | |
| NCOA7 | |
| Recombinant protein corresponding to Human NCOA7. Recombinant protein control fragment (Product #RP-94663). | |
| 100 μL | |
| Primary | |
| Human | |
| Antibody | |
| IgG |
Product Content Correction
Your input is important to us. Please complete this form to provide feedback related to the content on this product.
Product Title
Spot an opportunity for improvement?Share a Content Correction